

貨號
產品規格
售價
備注
BN40256R-100ul
100ul
¥2470.00
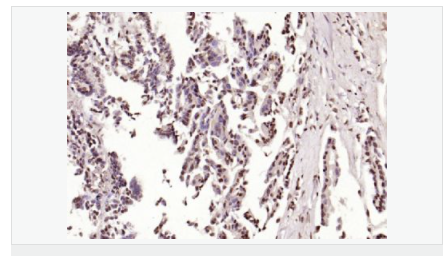
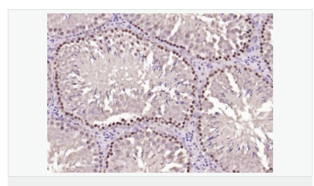
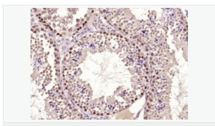
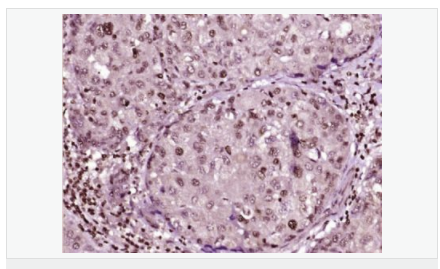
交叉反應:Human,Mouse,Rat(predicted:Dog,Pig,Rabbit,GuineaPig) 推薦應用:IHC-P,IHC-F,ICC,IF,Flow-Cyt,ELISA
產品描述
| 英文名稱 | phospho-HSP70 (Tyr611) |
| 中文名稱 | 磷酸化熱休克蛋白-70抗體 |
| 別 名 | HSP70 (phospho Tyr611); HSP70 (phospho Y611); p-HSP70 (Tyr611); p-HSP70 (Y611); HSP70; HSP-70; HSP 70; Heat shock 70 kDa protein 1; heat shock 70kDa protein 1A; Heat shock 70kDa protein 1B; Heat shock induced protein; heat shock protein 70; HSP70 1; HSP70 2; HSP70.1; HSP72; HSPA1; HSPA1A; HSPA1B; XXbac BCX40G17.3 001; Heat shock 70 kDa protein 1A/1B; HSP71A_HUMAN; Hspa1a; Hsp70-1; HSP72; Hspa1; Hspa1b; Heat shock 70 kDa protein 1A/1B; shock 70 kDa protein 1/2; HSP70-1/HSP70-2; HSP70.1/HSP70.2. |
| 產品類型 | 磷酸化抗體 |
| 抗體來源 | Rabbit |
| 克隆類型 | Polyclonal |
| 交叉反應 | Human, Mouse, Rat, (predicted: Dog, Pig, Rabbit, Guinea Pig, ) |
| 產品應用 | ELISA=1:5000-10000 IHC-P=1:100-500 IHC-F=1:100-500 Flow-Cyt=1μg/Test ICC=1:100 IF=1:100-500 (石蠟切片需做抗原修復) not yet tested in other applications. optimal dilutions/concentrations should be determined by the end user. |
| 分 子 量 | 70kDa |
| 細胞定位 | 細胞漿 |
| 性 狀 | Liquid |
| 濃 度 | 1mg/ml |
| 免 疫 原 | KLH conjugated Synthesised phosphopeptide derived from human HSP70 around the phosphorylation site of Tyr41:GL(p-Y)QG |
| 亞 型 | IgG |
| 純化方法 | affinity purified by Protein A |
| 儲 存 液 | 0.01M TBS(pH7.4) with 1% BSA, 0.03% Proclin300 and 50% Glycerol. |
| 保存條件 | Shipped at 4℃. Store at -20 °C for one year. Avoid repeated freeze/thaw cycles. |
| PubMed | PubMed |
| 產品介紹 | This intronless gene encodes a 70kDa heat shock protein which is a member of the heat shock protein 70 family. In conjuction with other heat shock proteins, this protein stabilizes existing proteins against aggregation and mediates the folding of newly translated proteins in the cytosol and in organelles. It is also involved in the ubiquitin-proteasome pathway through interaction with the AU-rich element RNA-binding protein 1. The gene is located in the major histocompatibility complex class III region, in a cluster with two closely related genes which encode similar proteins. [provided by RefSeq, Jul 2008]. Function: In cooperation with other chaperones, Hsp70s stabilize preexistent proteins against aggregation and mediate the folding of newly translated polypeptides in the cytosol as well as within organelles. These chaperones participate in all these processes through their ability to recognize nonnative conformations of other proteins. They bind extended peptide segments with a net hydrophobic character exposed by polypeptides during translation and membrane translocation, or following stress-induced damage. In case of rotavirus A infection, serves as a post-attachment receptor for the virus to facilitate entry into the cell. Subunit: Component of the CatSper complex. Identified in a mRNP granule complex, at least composed of ACTB, ACTN4, DHX9, ERG, HNRNPA1, HNRNPA2B1, HNRNPAB, HNRNPD, HNRNPL, HNRNPR, HNRNPU, HSPA1, HSPA8, IGF2BP1, ILF2, ILF3, NCBP1, NCL, PABPC1, PABPC4, PABPN1, RPLP0, RPS3, RPS3A, RPS4X, RPS8, RPS9, SYNCRIP, TROVE2, YBX1 and untranslated mRNAs. Interacts with TSC2. Interacts with IRAK1BP1. Interacts with TERT; the interaction occurs in the absence of the RNA component, TERC, and dissociates once the TERT complex has formed. Interacts with DNAJC7. Interacts with CHCHD3. Subcellular Location: Cytoplasm. Note=Localized in cytoplasmic mRNP granules containing untranslated mRNAs. Tissue Specificity: HSPA1B is testis-specific. Similarity: Belongs to the heat shock protein 70 family. SWISS: P0DMV8 Gene ID: 3303 Database links: Entrez Gene: 3303 Human Entrez Gene: 3304 Human Entrez Gene: 15511 Mouse Entrez Gene: 193740 Mouse Omim: 140550 Human Omim: 603012 Human SwissProt: P0DMV8 Human SwissProt: P0DMV9 Human SwissProt: P17879 Mouse SwissProt: Q61696 Mouse Unigene: 274402 Human Unigene: 719966 Human Unigene: 728810 Human Unigene: 1950 Rat Unigene: 228225 Rat Important Note: This product as supplied is intended for research use only, not for use in human, therapeutic or diagnostic applications. |







