

貨號
產品規格
售價
備注
BN40297R-100ul
100ul
¥2360.00
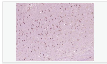
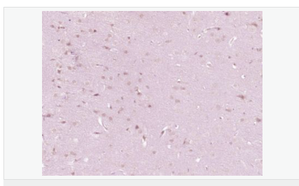
交叉反應:Human,Mouse,Rat(predicted:Dog,Pig,Horse,Sheep) 推薦應用:WB,IHC-P,IHC-F,ICC,IF,ELISA
BN40297R-200ul
200ul
¥3490.00
交叉反應:Human,Mouse,Rat(predicted:Dog,Pig,Horse,Sheep) 推薦應用:WB,IHC-P,IHC-F,ICC,IF,ELISA
產品描述
| 英文名稱 | HOXA6 |
| 中文名稱 | 同源盒基因HOXA6蛋白抗體 |
| 別 名 | HOX1B; Homeo box 1B; Homeo box A6; Homeobox 1B; Homeobox A6; Homeobox protein Hox A6; Homeobox protein Hox-1B; Homeobox protein Hox-A6 antibody Homeobox protein HoxA6; HOX 1; Hox 1B; HOX1; HOX1.2; Hox1B; HOXA6; HX A6; HXA6; HXA6_HUMAN. |
| 研究領域 | 細胞生物 發育生物學 神經生物學 干細胞 表觀遺傳學 |
| 抗體來源 | Rabbit |
| 克隆類型 | Polyclonal |
| 交叉反應 | Human, Mouse, Rat, (predicted: Dog, Pig, Horse, Sheep, ) |
| 產品應用 | WB=1:500-2000 ELISA=1:5000-10000 IHC-P=1:100-500 IHC-F=1:100-500 ICC=1:100-500 IF=1:100-500 (石蠟切片需做抗原修復) not yet tested in other applications. optimal dilutions/concentrations should be determined by the end user. |
| 分 子 量 | 23kDa |
| 性 狀 | Liquid |
| 濃 度 | 1mg/ml |
| 免 疫 原 | KLH conjugated synthetic peptide derived from human HOXA6/HOX1B:171-233/233 |
| 亞 型 | IgG |
| 純化方法 | affinity purified by Protein A |
| 儲 存 液 | 0.01M TBS(pH7.4) with 1% BSA, 0.03% Proclin300 and 50% Glycerol. |
| 保存條件 | Shipped at 4℃. Store at -20 °C for one year. Avoid repeated freeze/thaw cycles. |
| PubMed | PubMed |
| 產品介紹 | The Hox homeobox genes encode proteins that are transcriptional regulators with an established role in embryonic development. HoxA6 (homeobox A6), also known as HOX1B, is a 233 amino acid protein that localizes to the nucleus. Expressed during embryonic development, HoxA6 functions as a sequence-specific DNA-binding transcription factor that is part of a regulatory mechanism that provides cells with positional identities during development. Via its ability to bind DNA, HoxA6 plays an important role in the regulation of gene expression, as well as morphogenesis and differentiation. The gene encoding HoxA6 maps to human chromosome 7, which houses over 1,000 genes and comprises nearly 5% of the human genome. Defects in some of the genes localized to chromosome 7 have been linked to Osteogenesis imperfecta, Williams-Beuren syndrome, Pendred syndrome, Lissencephaly, Citrullinemia and Shwachman-Diamond syndrome. Function: Sequence-specific transcription factor which is part of a developmental regulatory system that provides cells with specific positional identities on the anterior-posterior axis. Tissue Specificity: Nucleus. Similarity: Belongs to the Antp homeobox family. Contains 1 homeobox DNA-binding domain. SWISS: P31267 Gene ID: 3203 Database links: Entrez Gene: 3203 Human Entrez Gene: 15403 Mouse Omim: 142951 Human SwissProt: P31267 Human SwissProt: P09092 Mouse Unigene: 679517 Human Unigene: 222030 Mouse Important Note: This product as supplied is intended for research use only, not for use in human, therapeutic or diagnostic applications. |


