

貨號
產品規格
售價
備注
BN40352R-100ul
100ul
¥2360.00
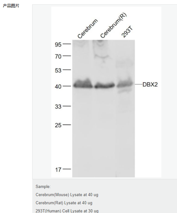
交叉反應:Human,Mouse,Rat(predicted:Chicken,Dog,Pig,Horse,Sheep) 推薦應用:WB,IHC-P,IHC-F,ICC,IF,ELISA
BN40352R-200ul
200ul
¥3490.00
交叉反應:Human,Mouse,Rat(predicted:Chicken,Dog,Pig,Horse,Sheep) 推薦應用:WB,IHC-P,IHC-F,ICC,IF,ELISA
產品描述
| 英文名稱 | DBX2 |
| 中文名稱 | 腦發育同源蛋白2抗體 |
| 別 名 | Dbx 2; developing brain homeobox 2; FLJ16139; hlx3; DBX2_HUMAN. |
| 研究領域 | 細胞生物 發育生物學 神經生物學 信號轉導 干細胞 表觀遺傳學 |
| 抗體來源 | Rabbit |
| 克隆類型 | Polyclonal |
| 交叉反應 | Human, Mouse, Rat, (predicted: Chicken, Dog, Pig, Horse, Sheep, ) |
| 產品應用 | WB=1:500-2000 ELISA=1:5000-10000 IHC-P=1:100-500 IHC-F=1:100-500 ICC=1:100-500 IF=1:100-500 (石蠟切片需做抗原修復) not yet tested in other applications. optimal dilutions/concentrations should be determined by the end user. |
| 分 子 量 | 37kDa |
| 細胞定位 | 細胞核 |
| 性 狀 | Liquid |
| 濃 度 | 1mg/ml |
| 免 疫 原 | KLH conjugated synthetic peptide derived from human DBX2:151-250/339 |
| 亞 型 | IgG |
| 純化方法 | affinity purified by Protein A |
| 儲 存 液 | 0.01M TBS(pH7.4) with 1% BSA, 0.03% Proclin300 and 50% Glycerol. |
| 保存條件 | Shipped at 4℃. Store at -20 °C for one year. Avoid repeated freeze/thaw cycles. |
| PubMed | PubMed |
| 產品介紹 | DBX2 is a 339 amino acid member of the H2.0 homeobox family. DBX2, which is localized to the nucleus, contains one homeobox DNA-binding domain, a region of 60 amino acids that binds DNA through a helix-turn-helix type of structure. DBX2, which is expressed in the forebrain, midbrain, hindbrain and spinal cord, has been implicated in CNS development.Specifically, DBX2 has been shown to play a role in spinal cord dorsal/ventral patterning, as well as the regionalization of the CNS. DBX2 is also thought to play a role in the production of multiple spinal cord cell types. Subcellular Location: Nuclear Similarity: Belongs to the H2.0 homeobox family. Contains 1 homeobox DNA-binding domain. SWISS: Q6ZNG2 Gene ID: 440097 Database links: Entrez Gene: 440097 Human Entrez Gene: 223843 Mouse SwissProt: Q6ZNG2 Human Unigene: 302764 Human Unigene: 152937 Mouse Unigene: 93216 Rat Important Note: This product as supplied is intended for research use only, not for use in human, therapeutic or diagnostic applications. |
