

貨號
產品規格
售價
備注
BN40447R-100ul
100ul
¥2360.00
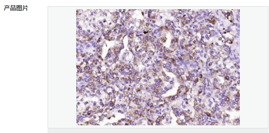
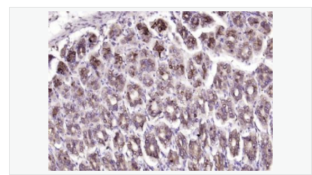
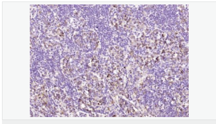
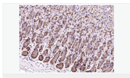
交叉反應:Human,Mouse,Rat(predicted:Rabbit) 推薦應用:IHC-P,IHC-F,ICC,IF,ELISA
BN40447R-200ul
200ul
¥3490.00
交叉反應:Human,Mouse,Rat(predicted:Rabbit) 推薦應用:IHC-P,IHC-F,ICC,IF,ELISA
產品描述
| 英文名稱 | DTX3L |
| 中文名稱 | DTX3L蛋白抗體 |
| 別 名 | B lymphoma and BAL associated protein; B-lymphoma- and BAL-associated protein; BBAP; Deltex 3 like; DTX 3L; DTX3L; DTX3L_HUMAN; E3 ubiquitin-protein ligase DTX3L; Protein deltex 3 like; Protein deltex 3 like protein; Protein deltex-3-like; Rhysin 2; Rhysin-2; Rhysin2. |
| 研究領域 | 細胞生物 鋅指蛋白 表觀遺傳學 泛素 |
| 抗體來源 | Rabbit |
| 克隆類型 | Polyclonal |
| 交叉反應 | Human, Mouse, Rat, (predicted: Rabbit, ) |
| 產品應用 | ELISA=1:5000-10000 IHC-P=1:100-500 IHC-F=1:100-500 ICC=1:100-500 IF=1:100-500 (石蠟切片需做抗原修復) not yet tested in other applications. optimal dilutions/concentrations should be determined by the end user. |
| 分 子 量 | 83kDa |
| 細胞定位 | 細胞核 細胞漿 |
| 性 狀 | Liquid |
| 濃 度 | 1mg/ml |
| 免 疫 原 | KLH conjugated synthetic peptide derived from human DTX3L:651-740/740 |
| 亞 型 | IgG |
| 純化方法 | affinity purified by Protein A |
| 儲 存 液 | 0.01M TBS(pH7.4) with 1% BSA, 0.03% Proclin300 and 50% Glycerol. |
| 保存條件 | Shipped at 4℃. Store at -20 °C for one year. Avoid repeated freeze/thaw cycles. |
| PubMed | PubMed |
| 產品介紹 | DTX3L functions as an E3 ubiquitin ligase (Takeyama et al., 2003 [PubMed 12670957]).[supplied by OMIM, Nov 2009] Function: Ubiquitin ligase that mediates monoubiquitination of 'Lys-91' of histone H4 (H4K91ub1), in response to DNA damage. Protects cells exposed to DNA-damaging agents. The exact role of H4K91ub1 in DNA damage response is still unclear but it may function as a licensing signal for additional histone H4 post-translational modifications such as H4 'Lys-20' methylation (H4K20me). Involved in the recruitment of 53BP1/TP53BP1 to sites of DNA damage by mediating H4K91ub1 formation. Subcellular Location: Cytoplasm. Nucleus. Similarity: Belongs to the Deltex family. Contains 1 RING-type zinc finger. SWISS: Q8TDB6 Gene ID: 151636 Database links: Entrez Gene: 151636 Human Entrez Gene: 209200 Mouse Omim: 613143 Human SwissProt: Q8TDB6 Human SwissProt: Q3UIR3 Mouse Unigene: 518201 Human Unigene: 390852 Mouse Important Note: This product as supplied is intended for research use only, not for use in human, therapeutic or diagnostic applications |





