

貨號
產品規格
售價
備注
BN40450R-100ul
100ul
¥2470.00
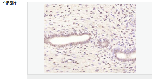
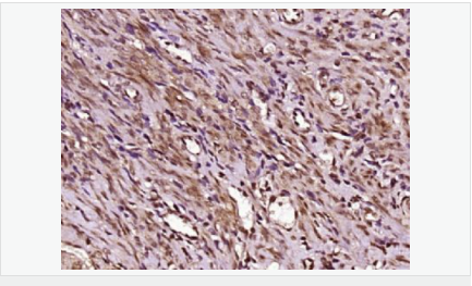
交叉反應:Human,Rat(predicted:Mouse,Pig,Cow,Horse) 推薦應用:IHC-P,IHC-F,ICC,IF,Flow-Cyt,ELISA
產品描述
| 英文名稱 | Phospho-Estrogen Receptor alpha (Ser106) |
| 中文名稱 | 磷酸化雌激素受體α抗體 |
| 別 名 | Estrogen Receptor alpha (phospho S106); p-Estrogen Receptor alpha (phospho S106); DKFZp686N23123; ER alpha; ER; ER-alpha; Era; ESR; ESR1; ESR1_HUMAN; ESRA; Estradiol receptor; Estrogen nuclear receptor alpha; Estrogen receptor 1; Estrogen receptor alpha 3*,4,5,6,7*/822 isoform; Estrogen receptor alpha delta 3*,4,5,6,7*,8*/941 isoform; Estrogen receptor alpha delta 3*,4,5,6,7*/819 2 isoform; Estrogen receptor alpha delta 4 +49 isoform; Estrogen receptor alpha delta 4*,5,6,7*/654 isoform; Estrogen receptor alpha delta 4*,5,6,7,8*/901 isoform; Estrogen receptor; NR3A1; Nuclear receptor subfamily 3 group A member 1. |
| 產品類型 | 磷酸化抗體 |
| 研究領域 | 腫瘤 細胞生物 免疫學 神經生物學 信號轉導 轉錄調節因子 |
| 抗體來源 | Rabbit |
| 克隆類型 | Polyclonal |
| 交叉反應 | Human, Rat, (predicted: Mouse, Pig, Cow, Horse, ) |
| 產品應用 | ELISA=1:5000-10000 IHC-P=1:100-500 IHC-F=1:100-500 Flow-Cyt=1μg/Test ICC=1:100-500 IF=1:100-500 (石蠟切片需做抗原修復) not yet tested in other applications. optimal dilutions/concentrations should be determined by the end user. |
| 分 子 量 | 66kDa |
| 細胞定位 | 細胞核 細胞漿 細胞膜 |
| 性 狀 | Liquid |
| 濃 度 | 1mg/ml |
| 免 疫 原 | KLH conjugated Synthesised phosphopeptide derived from human ER alpha around the phosphorylation site of Ser106:P(p-S)PL |
| 亞 型 | IgG |
| 純化方法 | affinity purified by Protein A |
| 儲 存 液 | 0.01M TBS(pH7.4) with 1% BSA, 0.03% Proclin300 and 50% Glycerol. |
| 保存條件 | Shipped at 4℃. Store at -20 °C for one year. Avoid repeated freeze/thaw cycles. |
| PubMed | PubMed |
| 產品介紹 | This gene encodes an estrogen receptor, a ligand-activated transcription factor composed of several domains important for hormone binding, DNA binding, and activation of transcription. The protein localizes to the nucleus where it may form a homodimer or a heterodimer with estrogen receptor 2. Estrogen and its receptors are essential for sexual development and reproductive function, but also play a role in other tissues such as bone. Estrogen receptors are also involved in pathological processes including breast cancer, endometrial cancer, and osteoporosis. Alternative splicing results in several transcript variants, which differ in their 5' UTRs and use different promoters. [provided by RefSeq, Jul 2008] Function: Nuclear hormone receptor. The steroid hormones and their receptors are involved in the regulation of eukaryotic gene expression and affect cellular proliferation and differentiation in target tissues. Can activate the transcriptional activity of TFF1. Subcellular Location: Nucleus. Cytoplasm. Cell membrane. A minor fraction is associated with the inner membrane and Nucleus. Cytoplasm. Cell membrane. Associated with the inner membrane via palmitoylation. Post-translational modifications: Phosphorylated by cyclin A/CDK2. Phosphorylation probably enhances transcriptional activity. Glycosylated; contains N-acetylglucosamine, probably O-linked. Ubiquitinated. Deubiquitinated by OTUB1. Dimethylated by PRMT1 at Arg-260. The methylation may favor cytoplasmic localization. Palmitoylated (isoform 3). Not biotinylated (isoform 3). Similarity: Belongs to the nuclear hormone receptor family. NR3 subfamily. Contains 1 nuclear receptor DNA-binding domain. SWISS: P03372 Gene ID: 2099 Database links: Entrez Gene: 2099 Human Entrez Gene: 13982 Mouse Omim: 133430 Human SwissProt: P03372 Human SwissProt: P19785 Mouse Unigene: 208124 Human Unigene: 463262 Mouse Unigene: 9213 Mouse Important Note: This product as supplied is intended for research use only, not for use in human, therapeutic or diagnostic applications. |


