

貨號
產品規格
售價
備注
BN40479R-100ul
100ul
¥2470.00
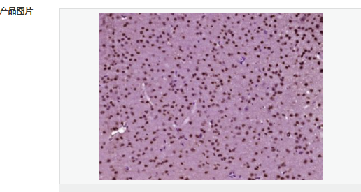
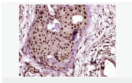
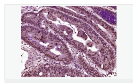
交叉反應:Human,Mouse(predicted:Rat,Dog,Pig,Cow,Horse,Rabbit) 推薦應用:IHC-F,IF,ELISA
產品描述
| 英文名稱 | phospho-GRK2 (Ser670) |
| 中文名稱 | 磷酸化G蛋白偶合受體激酶2抗體 |
| 別 名 | GRK2 (phospho S670); p-GRK2 (phospho S670); G-protein coupled receptor kinase 2; ADRBK 1; ADRBK1; Adrenergic beta receptor kinase 1; BARK 1; BARK; BARK1; Beta adrenergic receptor kinase 1; Beta ARK 1; Beta ARK1; G Protein Coupled Receptor Kinase 2; G protein dependent receptor kinase 2; FLJ16718; GRK 2; ARBK1_HUMAN. |
| 產品類型 | 磷酸化抗體 |
| 研究領域 | 細胞生物 神經生物學 信號轉導 激酶和磷酸酶 G蛋白偶聯受體 G蛋白信號 |
| 抗體來源 | Rabbit |
| 克隆類型 | Polyclonal |
| 交叉反應 | Human, Mouse, (predicted: Rat, Dog, Pig, Cow, Horse, Rabbit, ) |
| 產品應用 | ELISA=1:5000-10000 IHC-F=1:100-500 ICC=1:100-500 IF=1:100-500 (石蠟切片需做抗原修復) not yet tested in other applications. optimal dilutions/concentrations should be determined by the end user. |
| 分 子 量 | 76kDa |
| 細胞定位 | 細胞漿 |
| 性 狀 | Liquid |
| 濃 度 | 1mg/ml |
| 免 疫 原 | KLH conjugated synthesised phosphopeptide derived from human GRK2 around the phosphorylation site of Ser670:PR(p-S)PV |
| 亞 型 | IgG |
| 純化方法 | affinity purified by Protein A |
| 儲 存 液 | 0.01M TBS(pH7.4) with 1% BSA, 0.03% Proclin300 and 50% Glycerol. |
| 保存條件 | Shipped at 4℃. Store at -20 °C for one year. Avoid repeated freeze/thaw cycles. |
| PubMed | PubMed |
| 產品介紹 | The product of this gene phosphorylates the beta-2-adrenergic receptor and appears to mediate agonist-specific desensitization observed at high agonist concentrations. This protein is an ubiquitous cytosolic enzyme that specifically phosphorylates the activated form of the beta-adrenergic and related G-protein-coupled receptors. Abnormal coupling of beta-adrenergic receptor to G protein is involved in the pathogenesis of the failing heart. [provided by RefSeq]. Function: Specifically phosphorylates the agonist-occupied form of the beta-adrenergic and closely related receptors, probably inducing a desensitization of them. Key regulator of LPAR1 signaling. Competes with RALA for binding to LPAR1 thus affecting the signaling properties of the receptor. Desensitizes LPAR1 and LPAR2 in a phosphorylation-independent manner. Subunit: Interacts with GIT1 (By similarity). Interacts with, and phosphorylates chemokine-stimulated CCR5. Interacts with ARRB1. Interacts with LPAR1 and LPAR2. Interacts with RALA in response to LPAR1 activation. ADRBK1 and RALA mutually inhibit each other's binding to LPAR1. Tissue Specificity: Expressed in peripheral blood leukocytes. Similarity: Belongs to the protein kinase superfamily. AGC Ser/Thr protein kinase family. GPRK subfamily. Contains 1 AGC-kinase C-terminal domain. Contains 1 PH domain. Contains 1 protein kinase domain. Contains 1 RGS domain. SWISS: P25098 Gene ID: 156 Database links: Entrez Gene: 156 Human Omim: 109635 Human SwissProt: P25098 Human SwissProt: Q99MK8 Mouse Unigene: 83636 Human Unigene: 254144 Mouse Unigene: 13010 Rat Important Note: This product as supplied is intended for research use only, not for use in human, therapeutic or diagnostic applications. |


