

貨號
產品規格
售價
備注
BN40577R-100ul
100ul
¥2360.00
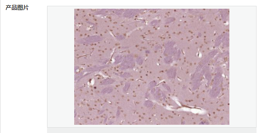
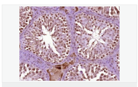
交叉反應:Mouse,Rat(predicted:Human,Dog,Pig,Cow,Horse,Rabbit,Sheep) 推薦應用:IHC-P,IHC-F,ICC,IF,ELISA
BN40577R-200ul
200ul
¥3490.00
交叉反應:Mouse,Rat(predicted:Human,Dog,Pig,Cow,Horse,Rabbit,Sheep) 推薦應用:IHC-P,IHC-F,ICC,IF,ELISA
產品描述
| 英文名稱 | SMCHD1 |
| 中文名稱 | SMCHD1蛋白抗體 |
| 別 名 | KIAA0650; SMC hinge domain containing 1; SMC hinge domain containing protein 1; Smchd1; SMHD1_HUMAN; Structural maintenance of chromosomes flexible hinge domain containing 1; Structural maintenance of chromosomes flexible hinge domain-containing protein 1. |
| 研究領域 | 細胞生物 表觀遺傳學 |
| 抗體來源 | Rabbit |
| 克隆類型 | Polyclonal |
| 交叉反應 | Mouse, Rat, (predicted: Human, Dog, Pig, Cow, Horse, Rabbit, Sheep, ) |
| 產品應用 | ELISA=1:5000-10000 IHC-P=1:100-500 IHC-F=1:100-500 ICC=1:100-500 IF=1:100-500 (石蠟切片需做抗原修復) not yet tested in other applications. optimal dilutions/concentrations should be determined by the end user. |
| 分 子 量 | 226kDa |
| 細胞定位 | 細胞核 |
| 性 狀 | Liquid |
| 濃 度 | 1mg/ml |
| 免 疫 原 | KLH conjugated synthetic peptide derived from human SMCHD1:761-860/2005 |
| 亞 型 | IgG |
| 純化方法 | affinity purified by Protein A |
| 儲 存 液 | 0.01M TBS(pH7.4) with 1% BSA, 0.03% Proclin300 and 50% Glycerol. |
| 保存條件 | Shipped at 4℃. Store at -20 °C for one year. Avoid repeated freeze/thaw cycles. |
| PubMed | PubMed |
| 產品介紹 | This gene encodes a protein which contains a hinge region domain found in members of the SMC (structural maintenance of chromosomes) protein family. [provided by RefSeq, Dec 2011] Function: Required for maintenance of X inactivation in females and hypermethylation of CpG islands associated with inactive X. Involved in a pathway that mediates the methylation of a subset of CpG islands slowly and requires the de novo methyltransferase DNMT3B (By similarity). Required for DUX4 silencing in somatic cells. Subcellular Location: Chromosome DISEASE: The disease is caused by mutations affecting the gene represented in this entry. SMCHD1 mutations lead to DUX4 expression in somatic tissues, including muscle cells, when an haplotype on chromosome 4 is permissive for DUX4 expression. Ectopic expression of DUX4 in skeletal muscle activates the expression of stem cell and germline genes, and, when overexpressed in somatic cells, DUX4 can ultimately lead to cell death. Disease description:A degenerative muscle disease characterized by slowly progressive weakness of the muscles of the face, upper-arm, and shoulder girdle. The onset of symptoms usually occurs in the first or second decade of life. Affected individuals usually present with impairment of upper extremity elevation. This tends to be followed by facial weakness, primarily involving the orbicularis oris and orbicularis oculi muscles. SWISS: A6NHR9 Gene ID: 23347 Database links: Entrez Gene: 23347 Human Entrez Gene: 74355 Mouse Omim: 614982 Human SwissProt: A6NHR9 Human SwissProt: Q6P5D8 Mouse Unigene: 8118 Human Unigene: 194450 Mouse Important Note: This product as supplied is intended for research use only, not for use in human, therapeutic or diagnostic applications. |


