

貨號
產品規格
售價
備注
BN40626R-100ul
100ul
¥2360.00
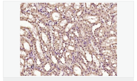
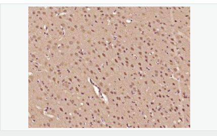
交叉反應:Human,Mouse,Rat(predicted:Dog,Pig,Cow,Horse,Rabbit,Sheep) 推薦應用:WB,IHC-P,IHC-F,IF,Flow-Cyt,ELISA
BN40626R-200ul
200ul
¥3490.00
交叉反應:Human,Mouse,Rat(predicted:Dog,Pig,Cow,Horse,Rabbit,Sheep) 推薦應用:WB,IHC-P,IHC-F,IF,Flow-Cyt,ELISA
產品描述
| 英文名稱 | DDIT3 |
| 中文名稱 | GADD153抗體 |
| 別 名 | GADD153; CHOP; Growth arrest and DNA damage-inducible 153; C/EBP homologous protein; C/EBP Homology Protein; CEBPZ; CHOP10; DDIT 3; DNA Damage Inducible Transcript 3; GADD 153; Growth Arrest and DNA Damage Inducible Protein 153; Growth arrest and DNA damage inducible protein GADD153; MGC4154; DDIT3_HUMAN. |
| 研究領域 | 免疫學 信號轉導 細胞凋亡 細胞周期蛋白 轉錄調節因子 |
| 抗體來源 | Rabbit |
| 克隆類型 | Polyclonal |
| 交叉反應 | Human, Mouse, Rat, (predicted: Dog, Pig, Cow, Horse, Rabbit, Sheep, ) |
| 產品應用 | WB=1:500-2000 ELISA=1:5000-10000 IHC-P=1:100-500 IHC-F=1:100-500 Flow-Cyt=1μg/Test ICC=1:100-500 IF=1:100-500 (石蠟切片需做抗原修復) not yet tested in other applications. optimal dilutions/concentrations should be determined by the end user. |
| 分 子 量 | 19kDa |
| 細胞定位 | 細胞核 細胞漿 |
| 性 狀 | Liquid |
| 濃 度 | 1mg/ml |
| 免 疫 原 | KLH conjugated synthetic peptide derived from human GADD153/DDIT3:81-150/168 |
| 亞 型 | IgG |
| 純化方法 | affinity purified by Protein A |
| 儲 存 液 | 0.01M TBS(pH7.4) with 1% BSA, 0.03% Proclin300 and 50% Glycerol. |
| 保存條件 | Shipped at 4℃. Store at -20 °C for one year. Avoid repeated freeze/thaw cycles. |
| PubMed | PubMed |
| 產品介紹 | This gene encodes a member of the CCAAT/enhancer-binding protein (C/EBP) family of transcription factors. The protein functions as a dominant-negative inhibitor by forming heterodimers with other C/EBP members, such as C/EBP and LAP (liver activator protein), and preventing their DNA binding activity. The protein is implicated in adipogenesis and erythropoiesis, is activated by endoplasmic reticulum stress, and promotes apoptosis. Fusion of this gene and FUS on chromosome 16 or EWSR1 on chromosome 22 induced by translocation generates chimeric proteins in myxoid liposarcomas or Ewing sarcoma. Multiple alternatively spliced transcript variants encoding two isoforms with different length have been identified. [provided by RefSeq, Aug 2010]. Function: Multifunctional transcription factor in ER stress response. Plays an essential role in the response to a wide variety of cell stresses and induces cell cycle arrest and apoptosis in response to ER stress. Plays a dual role both as an inhibitor of CCAAT/enhancer-binding protein (C/EBP) function and as an activator of other genes. Acts as a dominant-negative regulator of C/EBP-induced transcription: dimerizes with members of the C/EBP family, impairs their association with C/EBP binding sites in the promoter regions, and inhibits the expression of C/EBP regulated genes. Positively regulates the transcription of TRIB3, IL6, IL8, IL23, TNFRSF10B/DR5, PPP1R15A/GADD34, BBC3/PUMA, BCL2L11/BIM and ERO1L. Negatively regulates; expression of BCL2 and MYOD1, ATF4-dependent transcriptional activation of asparagine synthetase (ASNS), CEBPA-dependent transcriptional activation of hepcidin (HAMP) and CEBPB-mediated expression of peroxisome proliferator-activated receptor gamma (PPARG). Inhibits the canonical Wnt signaling pathway by binding to TCF7L2/TCF4, impairing its DNA-binding properties and repressing its transcriptional activity. Plays a regulatory role in the inflammatory response through the induction of caspase-11 (CASP4/CASP11) which induces the activation of caspase-1 (CASP1) and both these caspases increase the activation of pro-IL1B to mature IL1B which is involved in the inflammatory response. Subunit: Heterodimer. Interacts with TCF7L2/TCF4, EP300/P300, HDAC1, HDAC5 and HDAC6. Interacts with TRIB3 which blocks its association with EP300/P300. Interacts with FOXO3, CEBPB and ATF4. Subcellular Location: Cytoplasm. Nucleus. Note=Present in the cytoplasm under non-stressed conditions and ER stress leads to its nuclear accumulation. Post-translational modifications: Ubiquitinated, leading to its degradation by the proteasome. Phosphorylation at serine residues by MAPK14 enhances its transcriptional activation activity while phosphorylation at serine residues by CK2 inhibits its transcriptional activation activity. DISEASE: Note=A chromosomal aberration involving DDIT3 is found in a patient with malignant myxoid liposarcoma. Translocation t(12;16)(q13;p11) with FUS. Similarity: Belongs to the bZIP family. Contains 1 bZIP (basic-leucine zipper) domain. SWISS: P35638 Gene ID: 1649 Database links: Entrez Gene: 1649 Human Entrez Gene: 13198 Mouse Omim: 126337 Human SwissProt: P35638 Human SwissProt: P35639 Mouse Unigene: 505777 Human Important Note: This product as supplied is intended for research use only, not for use in human, therapeutic or diagnostic applications. GADD153蛋白與細胞凋亡和死亡密切相關,在某種程度上決定了細胞周期的進程。 |




