

貨號
產品規格
售價
備注
BN40655R-100ul
100ul
¥2360.00
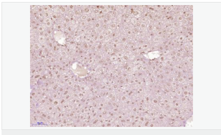
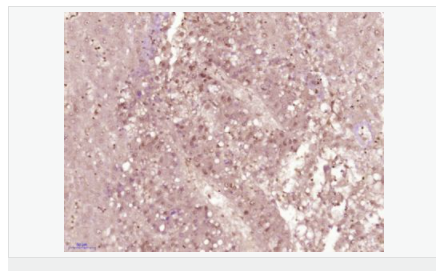
交叉反應:Human,Mouse(predicted:Rat,Pig,Rabbit) 推薦應用:WB,IHC-P,IHC-F,IF,ELISA
BN40655R-200ul
200ul
¥3490.00
交叉反應:Human,Mouse(predicted:Rat,Pig,Rabbit) 推薦應用:WB,IHC-P,IHC-F,IF,ELISA
產品描述
| 英文名稱 | SLIRP/C14orf156 |
| 中文名稱 | 14號染色體開放閱讀框156抗體 |
| 別 名 | C14orf156; Chromosome 14 open reading frame 156; DC50; DC23; PD04872; SLIRP; SRA stem loop interacting RNA binding protein, mitochondrial. |
| 研究領域 | 細胞生物 信號轉導 生長因子和激素 結合蛋白 表觀遺傳學 |
| 抗體來源 | Rabbit |
| 克隆類型 | Polyclonal |
| 交叉反應 | Human, Mouse, (predicted: Rat, Pig, Rabbit, ) |
| 產品應用 | WB=1:500-2000 ELISA=1:5000-10000 IHC-P=1:100-500 IHC-F=1:100-500 ICC=1:100-500 IF=1:100-500 (石蠟切片需做抗原修復) not yet tested in other applications. optimal dilutions/concentrations should be determined by the end user. |
| 分 子 量 | 12kDa |
| 細胞定位 | 細胞核 |
| 性 狀 | Liquid |
| 濃 度 | 1mg/ml |
| 免 疫 原 | KLH conjugated synthetic peptide derived from human SLIRP/C14orf156:31-100/109 |
| 亞 型 | IgG |
| 純化方法 | affinity purified by Protein A |
| 儲 存 液 | 0.01M TBS(pH7.4) with 1% BSA, 0.03% Proclin300 and 50% Glycerol. |
| 保存條件 | Shipped at 4℃. Store at -20 °C for one year. Avoid repeated freeze/thaw cycles. |
| PubMed | PubMed |
| 產品介紹 | Steroid receptor RNA activator (SRA, or SRA1; MIM 603819) is a complex RNA molecule containing multiple stable stem-loop structures that functions in coactivation of nuclear receptors. SLIRP interacts with stem-loop structure-7 of SRA (STR7) and modulates nuclear receptor transactivation (Hatchell et al., 2006 [PubMed 16762838]).[supplied by OMIM, Mar 2008] Function: RNA-binding protein that acts as a nuclear receptor corepressor. Probably acts by binding the SRA RNA, and repressing the SRA-mediated nuclear receptor coactivation. Binds the STR7 loop of SRA RNA. Also able to repress glucocorticoid (GR), androgen (AR), thyroid (TR) and VDR-mediated transactivation. Subcellular Location: Mitochondrial and Nuclear; Predominantly mitochondrial. Tissue Specificity: Ubiquitously expressed, with highest level in heart, liver, skeletal muscle and testis. Similarity: Contains 1 RRM (RNA recognition motif) domain. SWISS: Q9GZT3 Gene ID: 81892 Database links: Entrez Gene: 81892 Human Omim: 610211 Human SwissProt: Q9GZT3 Human Unigene: 655105 Human Important Note: This product as supplied is intended for research use only, not for use in human, therapeutic or diagnostic applications. |



