

貨號
產品規格
售價
備注
BN40747R-100ul
100ul
¥2470.00
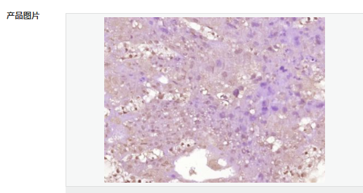
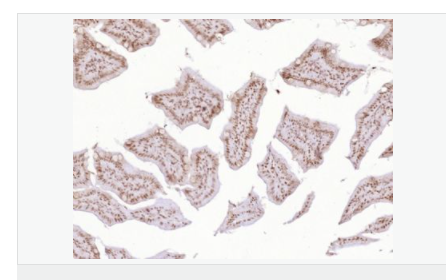
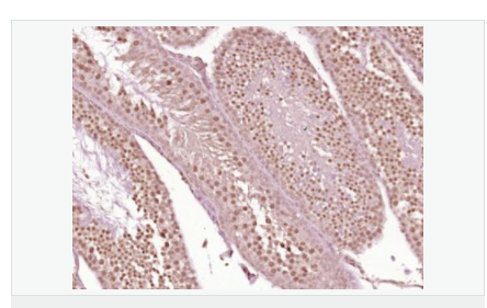
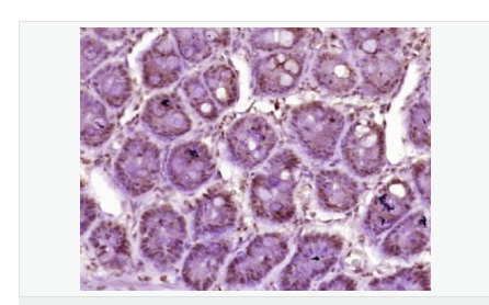
交叉反應:Human,Mouse,Rat(predicted:Dog,Pig,Cow,Horse,Rabbit) 推薦應用:IHC-P,IHC-F,ICC,IF,ELISA
產品描述
| 英文名稱 | phospho-KLF5 (Ser311) |
| 中文名稱 | 磷酸化腸道內富含的Kruppel樣因子5抗體 |
| 別 名 | KLF5 (phospho Ser311); KLF5 (phospho S311); Kinesin 5B; Klf5; CKLF; Krueppel-like factor 5; Intestinal-enriched krueppel-like factor; Transcription factor BTEB2; Basic transcription element-binding protein 2; BTE-binding protein 2; Krueppel-like factor 5; KLF5; basic transcription element-binding protein 2;BTEB2; intestine enriched krüppel-like factor; IKLF; Kruppel like factor 5; KLF5_HUMAN. |
| 產品類型 | 磷酸化抗體 |
| 研究領域 | 腫瘤 細胞生物 免疫學 信號轉導 轉錄調節因子 激酶和磷酸酶 |
| 抗體來源 | Rabbit |
| 克隆類型 | Polyclonal |
| 交叉反應 | Mouse, Rat, (predicted: Human, Dog, Pig, Cow, Horse, Rabbit, ) |
| 產品應用 | ELISA=1:5000-10000 IHC-P=1:100-500 IHC-F=1:100-500 IF=1:100-500 (石蠟切片需做抗原修復) not yet tested in other applications. optimal dilutions/concentrations should be determined by the end user. |
| 分 子 量 | 50kDa |
| 細胞定位 | 細胞核 |
| 性 狀 | Liquid |
| 濃 度 | 1mg/ml |
| 免 疫 原 | KLH conjugated synthesised phosphopeptide derived from human KLF5 around the phosphorylation site of Ser311:PG(p-S)PD |
| 亞 型 | IgG |
| 純化方法 | affinity purified by Protein A |
| 儲 存 液 | 0.01M TBS(pH7.4) with 1% BSA, 0.03% Proclin300 and 50% Glycerol. |
| 保存條件 | Shipped at 4℃. Store at -20 °C for one year. Avoid repeated freeze/thaw cycles. |
| PubMed | PubMed |
| 產品介紹 | Kinesin 5B; Klf5; CKLF; Krueppel-like factor 5; Intestinal-enriched krueppel-like factor; Transcription factor BTEB2; Basic transcription element-binding protein 2; BTE-binding protein 2; Krueppel-like factor 5; KLF5; basic transcription element-binding protein 2;BTEB2; intestine enriched krüppel-like factor; IKLF; Kruppel like factor 5. Function: Transcription factor that binds to GC box promoter elements. Activates the transcription of these genes. Subunit: Interacts with WWP1. Subcellular Location: Nucleus. Tissue Specificity: Expressed only in testis and placenta. Post-translational modifications: Ubiquitinated. Polyubiquitination involves WWP1 and leads to proteasomal degradation of this protein. Similarity: Belongs to the krueppel C2H2-type zinc-finger protein family. Contains 3 C2H2-type zinc fingers. SWISS: Q13887 Gene ID: 688 Database links: Entrez Gene: 688 Human Entrez Gene: 12224 Mouse Omim: 602903 Human SwissProt: Q13887 Human SwissProt: Q9Z0Z7 Mouse Unigene: 508234 Human Unigene: 30262 Mouse Unigene: 8954 Rat Important Note: This product as supplied is intended for research use only, not for use in human, therapeutic or diagnostic applications. |



