

貨號
產品規格
售價
備注
BN40761R-100ul
100ul
¥2360.00
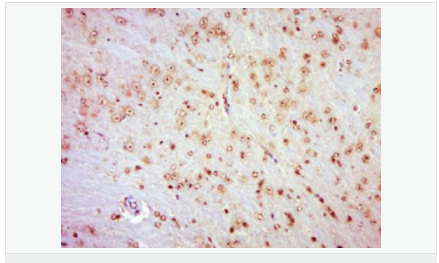
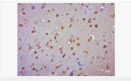
交叉反應:Human,Mouse(predicted:Rat,Pig,Cow,Horse,Rabbit,Sheep) 推薦應用:IHC-P,IHC-F,ICC,IF,Flow-Cyt,ELISA
BN40761R-200ul
200ul
¥3490.00
交叉反應:Human,Mouse(predicted:Rat,Pig,Cow,Horse,Rabbit,Sheep) 推薦應用:IHC-P,IHC-F,ICC,IF,Flow-Cyt,ELISA
產品描述
| 英文名稱 | FOXO1 |
| 中文名稱 | 叉頭蛋白O1抗體 |
| 別 名 | Forkhead box protein O1; Afxh; AI876417; FKHR; Fkhr1; Foxo1a; Forkhead; FKH 1; FKH1; FKH1; FKHR; FKHR; Forkhead (Drosophila) homolog 1 (rhabdomyosarcoma); Forkhead (Drosophila) homolog 1 (rhabdomyosarcoma); Forkhead box O1; Forkhead box protein O1; Forkhead box protein O1A; Forkhead in rhabdomyosarcoma; Forkhead, Drosophila, homolog of, in rhabdomyosarcoma; FOXO1; FOXO1; FOXO1_HUMAN; FOXO1A. |
| 研究領域 | 腫瘤 免疫學 轉錄調節因子 |
| 抗體來源 | Rabbit |
| 克隆類型 | Polyclonal |
| 交叉反應 | Human, Mouse, (predicted: Rat, Pig, Cow, Horse, Rabbit, Sheep, ) |
| 產品應用 | WB=1:500-2000 ELISA=1:5000-10000 IHC-P=1:100-500 IHC-F=1:100-500 Flow-Cyt=1ug/Test ICC=1:100-500 IF=1:100-500 (石蠟切片需做抗原修復) not yet tested in other applications. optimal dilutions/concentrations should be determined by the end user. |
| 分 子 量 | 70kDa |
| 細胞定位 | 細胞核 細胞漿 |
| 性 狀 | Liquid |
| 濃 度 | 1mg/ml |
| 免 疫 原 | KLH conjugated synthetic peptide derived from human FOXO1:231-330/655 |
| 亞 型 | IgG |
| 純化方法 | affinity purified by Protein A |
| 儲 存 液 | 0.01M TBS(pH7.4) with 1% BSA, 0.03% Proclin300 and 50% Glycerol. |
| 保存條件 | Shipped at 4℃. Store at -20 °C for one year. Avoid repeated freeze/thaw cycles. |
| PubMed | PubMed |
| 產品介紹 | This gene belongs to the forkhead family of transcription factors which are characterized by a distinct forkhead domain. The specific function of this gene has not yet been determined; however, it may play a role in myogenic growth and differentiation. Translocation of this gene with PAX3 has been associated with alveolar rhabdomyosarcoma. [provided by RefSeq]. Function: Transcription factor which acts as a regulator of cell responses to oxidative stress. In the presence of KIRT1, mediates down-regulation of cyclin D1 and up-regulation of CDKN1B levels which are required for cell transition from proliferative growth to quiescence. Triggers death of postmitotic neurons when phosphorylated by CDK1. Activates transcription of PMAIP1. Subunit: Interacts with LRPPRC. Interacts with SIRT1 and this interaction requires the presence of KRIT1. Interacts with NLK. Binds to CDK1 and 14-3-3 proteins. Subcellular Location: Cytoplasm. Nucleus. Note=Shuttles between cytoplasm and nucleus. Translocates to the nucleus upon oxidative stress induced phosphorylation at Ser-212 by STK4/MST1. Translocates to the nucleus upon phosphorylation of Thr-24, Ser-256 and Ser-322 by SGK1. Tissue Specificity: Ubiquitous. Post-translational modifications: Phosphorylated by AKT1; insulin-induced. Phosphorylated by NLK, which inhibits transcriptional activity and promotes nuclear export. IGF1 rapidly induces phosphorylation of Ser-256, Thr-24, and Ser-319. Phosphorylation of Ser-256 decreases DNA-binding activity and promotes the phosphorylation of Thr-24, and Ser-319, permitting phosphorylation of Ser-322 and Ser-325, probably by CK1, leading to nuclear exclusion and loss of function. Phosphorylation of Ser-329 is independent of IGF1 and leads to reduced function. Phosphorylated upon DNA damage, probably by ATM or ATR. Phosphorylation of Ser-249 by CDK1 disrupts 14-3-3 proteins binding and thereby promotes FOXO1 nuclear accumulation and subsequent transcription activation and cell death. Phosphorylated by STK4/MST1 on Ser-212 upon oxidative stress. Phosphorylated on Thr-24, Ser-256 and Ser-322 by SGK1 resulting in its translocation from the nucleus to the cytoplasm. DISEASE: Defects in FOXO1 are a cause of rhabdomyosarcoma type 2 (RMS2) [MIM:268220]. It is a form of rhabdomyosarcoma, a highly malignant tumor of striated muscle derived from primitive mesenchimal cells and exhibiting differentiation along rhabdomyoblastic lines. Rhabdomyosarcoma is one of the most frequently occurring soft tissue sarcomas and the most common in children. It occurs in four forms: alveolar, pleomorphic, embryonal and botryoidal rhabdomyosarcomas. Note=Chromosomal aberrations involving FOXO1 are found in rhabdomyosarcoma. Translocation (2;13)(q35;q14) with PAX3; translocation t(1;13)(p36;q14) with PAX7. The resulting protein is a transcriptional activator. Similarity: Contains 1 fork-head DNA-binding domain. SWISS: Q12778 Gene ID: 2308 Database links: Entrez Gene: 2308 Human Entrez Gene: 56458 Mouse Omim: 136533 Human SwissProt: Q12778 Human SwissProt: Q9R1E0 Mouse Unigene: 370666 Human Unigene: 29891 Mouse Unigene: 116108 Rat Important Note: This product as supplied is intended for research use only, not for use in human, therapeutic or diagnostic applications. FoxO家族蛋白是一類轉錄因子,通過結合到下游基因啟動子而激活一系列重要基因來調節細胞的重要生命過程。FoxO1(叉頭蛋白家族1)是FOXO家族的重要一員,該蛋白主要調節細胞衰老、細胞周期、代謝及抗腫瘤的作用。 FoxO1是誘導細胞自噬的關鍵蛋白,其抗癌作用與其誘導自噬功能密切相關。 |



