

貨號
產品規格
售價
備注
BN40842R-100ul
100ul
¥2470.00
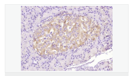
交叉反應:Human,Mouse,Rat(predicted:Dog,Pig,Cow,Sheep) 推薦應用:WB,IHC-P,Flow-Cyt,ELISA
產品描述
| 英文名稱 | phospho-Bax (Ser184) |
| 中文名稱 | 磷酸化Bax抗體 |
| 別 名 | Bax (phospho S184); Bax (phospho Ser184); p-Bax (S184); p-Bax (Ser184); apoptosis regulator BAX; Apoptosis regulator BAX cytoplasmic isoform beta; Apoptosis regulator BAX membrane isoform alpha; Bax isoform psi; BAX protein cytoplasmic isoform delta; Bax protein cytoplasmic isoform delta. antibody Bax protein cytoplasmic isoform gamma; Bax zeta; Bax-protein; Bcl-2-like protein 4; BCL2 associated X protein; BCL2L4; BAX_HUMAN; Bcl2-L-4. |
| 產品類型 | 磷酸化抗體 |
| 研究領域 | 腫瘤 細胞生物 神經生物學 信號轉導 細胞凋亡 |
| 抗體來源 | Rabbit |
| 克隆類型 | Polyclonal |
| 交叉反應 | Human, Mouse, Rat, (predicted: Dog, Pig, Cow, Sheep, ) |
| 產品應用 | WB=1:500-2000 ELISA=1:5000-10000 IHC-P=1:100-500 Flow-Cyt=3μg /test (石蠟切片需做抗原修復) not yet tested in other applications. optimal dilutions/concentrations should be determined by the end user. |
| 分 子 量 | 21kDa |
| 細胞定位 | 細胞漿 細胞膜 |
| 性 狀 | Liquid |
| 濃 度 | 1mg/ml |
| 免 疫 原 | KLH conjugated Synthesised phosphopeptide derived from human Bax around the phosphorylation site of Ser184:TA(p-S)LT |
| 亞 型 | IgG |
| 純化方法 | affinity purified by Protein A |
| 儲 存 液 | 0.01M TBS(pH7.4) with 1% BSA, 0.03% Proclin300 and 50% Glycerol. |
| 保存條件 | Shipped at 4℃. Store at -20 °C for one year. Avoid repeated freeze/thaw cycles. |
| PubMed | PubMed |
| 產品介紹 | The protein encoded by this gene belongs to the BCL2 protein family. BCL2 family members form hetero- or homodimers and act as anti- or pro-apoptotic regulators that are involved in a wide variety of cellular activities. This protein forms a heterodimer with BCL2, and functions as an apoptotic activator. This protein is reported to interact with, and increase the opening of, the mitochondrial voltage-dependent anion channel (VDAC), which leads to the loss in membrane potential and the release of cytochrome c. The expression of this gene is regulated by the tumor suppressor P53 and has been shown to be involved in P53-mediated apoptosis. Multiple alternatively spliced transcript variants, which encode different isoforms, have been reported for this gene. [provided by RefSeq, Jul 2008]. Function: Accelerates programmed cell death by binding to, and antagonizing the apoptosis repressor BCL2 or its adenovirus homolog E1B 19k protein. Under stress conditions, undergoes a conformation change that causes translocation to the mitochondrion membrane, leading to the release of cytochrome c that then triggers apoptosis. Promotes activation of CASP3, and thereby apoptosis. Subunit: Homodimer. Forms higher oligomers under stress conditions. Interacts with BCL2L11. Interaction with BCL2L11 promotes BAX oligomerization and association with mitochondrial membranes, with subsequent release of cytochrome c. Forms heterodimers with BCL2, E1B 19K protein, BCL2L1 isoform Bcl-X(L), BCL2L2, MCL1 and A1. Interacts with SH3GLB1 and HN. Interacts with SFN and YWHAZ; the interaction occurs in the cytoplasm. Under stress conditions, JNK-mediated phosphorylation of SFN and YWHAZ, releases BAX to mitochondria. Isoform Sigma interacts with BCL2A1 and BCL2L1 isoform Bcl-X(L). Interacts with RNF144B, which regulates the ubiquitin-dependent stability of BAX. Interacts with CLU under stress conditions that cause a conformation change leading to BAX oligomerization and association with mitochondria. Does not interact with CLU in unstressed cells. Interacts with FAIM2/LFG2. Subcellular Location: Isoform Alpha: Mitochondrion membrane; Single-pass membrane protein. Cytoplasm. Note=Colocalizes with 14-3-3 proteins in the cytoplasm. Under stress conditions, undergoes a conformation change that causes release from JNK-phosphorylated 14-3-3 proteins and translocation to the mitochondrion membrane. Isoform Beta: Cytoplasm. Isoform Gamma: Cytoplasm. Isoform Delta: Cytoplasm (Potential). Tissue Specificity: Expressed in a wide variety of tissues. Isoform Psi is found in glial tumors. Isoform Alpha is expressed in spleen, breast, ovary, testis, colon and brain, and at low levels in skin and lung. Isoform Sigma is expressed in spleen, breast, ovary, testis, lung, colon, brain and at low levels in skin. Isoform Alpha and isoform Sigma are expressed in pro-myelocytic leukemia, histiocytic lymphoma, Burkitt's lymphoma, T-cell lymphoma, lymphoblastic leukemia, breast adenocarcinoma, ovary adenocarcinoma, prostate carcinoma, prostate adenocarcinoma, lung carcinoma, epidermoid carcinoma, small cell lung carcinoma and colon adenocarcinoma cell lines. Similarity: Belongs to the Bcl-2 family. SWISS: Q07812 Gene ID: 581 Database links: Entrez Gene: 581 Human Entrez Gene: 12028 Mouse Omim: 600040 Human SwissProt: Q07812 Human SwissProt: Q07813 Mouse Unigene: 624291 Human Unigene: 19904 Mouse Unigene: 10668 Rat Important Note: This product as supplied is intended for research use only, not for use in human, therapeutic or diagnostic applications. |





