

貨號
產品規格
售價
備注
BN40901R-100ul
100ul
¥2470.00
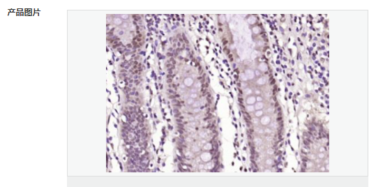
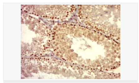
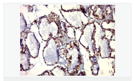
交叉反應:Human,Mouse,Rat(predicted:Dog,Pig,Cow,Rabbit,Sheep) 推薦應用:WB,IHC-P,IHC-F,IF,ELISA
產品描述
| 英文名稱 | Phospho-PIM1 (Tyr309) |
| 中文名稱 | 磷酸化前病毒整合位點蛋白1抗體 |
| 別 名 | PIM1 (phospho Y309); PIM1 (phospho Tyr309); Oncogene PIM 1; Oncogene PIM1; PIM 1; Pim 1 kinase; Pim 1 oncogene; PIM; Pim2; PIM3; Proto oncogene serine/threonine protein kinase Pim 1; Proviral integration site 1; Proviral integration site 2. |
| 產品類型 | 磷酸化抗體 |
| 研究領域 | 腫瘤 免疫學 信號轉導 干細胞 細胞凋亡 轉錄調節因子 激酶和磷酸酶 |
| 抗體來源 | Rabbit |
| 克隆類型 | Polyclonal |
| 交叉反應 | Human, Mouse, Rat, (predicted: Dog, Pig, Cow, Rabbit, Sheep, ) |
| 產品應用 | WB=1:500-2000 ELISA=1:5000-10000 IHC-P=1:100-500 IHC-F=1:100-500 IF=1:100-500 (石蠟切片需做抗原修復) not yet tested in other applications. optimal dilutions/concentrations should be determined by the end user. |
| 分 子 量 | 45kDa |
| 細胞定位 | 細胞核 細胞漿 細胞膜 |
| 性 狀 | Liquid |
| 濃 度 | 1mg/ml |
| 免 疫 原 | KLH conjugated Synthesised phosphopeptide derived from human PIM1 around the phosphorylation site of Tyr309:HR(p-Y)HG |
| 亞 型 | IgG |
| 純化方法 | affinity purified by Protein A |
| 儲 存 液 | 0.01M TBS(pH7.4) with 1% BSA, 0.03% Proclin300 and 50% Glycerol. |
| 保存條件 | Shipped at 4℃. Store at -20 °C for one year. Avoid repeated freeze/thaw cycles. |
| PubMed | PubMed |
| 產品介紹 | The protein encoded by this gene belongs to the Ser/Thr protein kinase family, and PIM subfamily. This gene is expressed primarily in B-lymphoid and myeloid cell lines, and is overexpressed in hematopoietic malignancies and in prostate cancer. It plays a role in signal transduction in blood cells, contributing to both cell proliferation and survival, and thus provides a selective advantage in tumorigenesis. Both the human and orthologous mouse genes have been reported to encode two isoforms (with preferential cellular localization) resulting from the use of alternative in-frame translation initiation codons, the upstream non-AUG (CUG) and downstream AUG codons (PMIDs:16186805, 1825810).[provided by RefSeq, Aug 2011]. Function: Proto-oncogene with serine/threonine kinase activity involved in cell survival and cell proliferation and thus providing a selective advantage in tumorigenesis. Exerts its oncogenic activity through: the regulation of MYC transcriptional activity, the regulation of cell cycle progression and by phosphorylation and inhibition of proapoptotic proteins (BAD, MAP3K5, FOXO3). Phosphorylation of MYC leads to an increase of MYC protein stability and thereby an increase of transcriptional activity. The stabilization of MYC exerced by PIM1 might explain partly the strong synergism between these two oncogenes in tumorigenesis. Mediates survival signaling through phosphorylation of BAD, which induces release of the anti-apoptotic protein Bcl-X(L)/BCL2L1. Phosphorylation of MAP3K5, an other proapoptotic protein, by PIM1, significantly decreases MAP3K5 kinase activity and inhibits MAP3K5-mediated phosphorylation of JNK and JNK/p38MAPK subsequently reducing caspase-3 activation and cell apoptosis. Stimulates cell cycle progression at the G1-S and G2-M transitions by phosphorylation of CDC25A and CDC25C. Phosphorylation of CDKN1A, a regulator of cell cycle progression at G1, results in the relocation of CDKN1A to the cytoplasm and enhanced CDKN1A protein stability. Promote cell cycle progression and tumorigenesis by down-regulating expression of a regulator of cell cycle progression, CDKN1B, at both transcriptional and post-translational levels. Phosphorylation of CDKN1B,induces 14-3-3-proteins binding, nuclear export and proteasome-dependent degradation. May affect the structure or silencing of chromatin by phosphorylating HP1 gamma/CBX3. Acts also as a regulator of homing and migration of bone marrow cells involving functional interaction with the CXCL12-CXCR4 signaling axis. Subunit: Isoform 2 is isolated as a monomer whereas isoform 1 complexes with other proteins. Binds to RP9. Isoform 1, but not isoform 2, binds BMX. Isoform 2 interacts with CDKN1B and FOXO3. Interacts with BAD. Interacts with PPP2CA; this interaction promotes dephosphorylation of PIM1, ubiquitination and proteasomal degradation. Interacts with HSP90, this interaction stabilizes PIM1 protein levels. Interacts (ubiquitinated form) with HSP70 and promotes its proteosomal degradation. Interacts with CDKN1A. Interacts with CDC25C. Interacts (via N-terminal 96 residues) with CDC25A. Interacts with MAP3K5. Interacts with MYC. Subcellular Location: Isoform 2: Cytoplasm. Nucleus. Isoform 1: Cell membrane. Tissue Specificity: Expressed primarily in cells of the hematopoietic and germline lineages. Isoform 1 and isoform 2 are both expressed in prostate cancer cell lines. Post-translational modifications: Autophosphorylated on both serine/threonine and tyrosine residues. Phosphorylated. Interaction with PPP2CA promotes dephosphorylation. Ubiquitinated, leading to proteasomal degradation. Similarity: Belongs to the protein kinase superfamily. CAMK Ser/Thr protein kinase family. PIM subfamily. Contains 1 protein kinase domain. SWISS: P11309 Gene ID: 5292 Database links: Entrez Gene: 5292 Human Entrez Gene: 18712 Mouse Omim: 164960 Human SwissProt: P11309 Human SwissProt: P06803 Mouse Unigene: 81170 Human Unigene: 405293 Mouse Unigene: 485038 Mouse Unigene: 34888 Rat Important Note: This product as supplied is intended for research use only, not for use in human, therapeutic or diagnostic applications. PIM1蛋白是絲氨酸/蘇氨酸蛋白激酶2家族成員,他參與細胞信號轉導、細胞凋亡、轉錄調節,在很多腫瘤中表達,尤其是前列腺癌,表達水平較高。 |


