

貨號
產品規格
售價
備注
BN40904R-100ul
100ul
¥2360.00
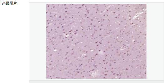
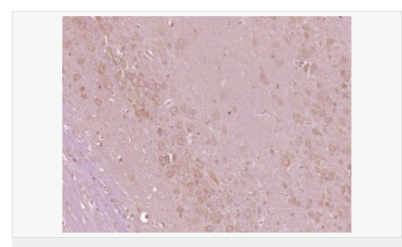
交叉反應:Mouse,Rat(predicted:Human,Dog,Pig,Horse,Rabbit) 推薦應用:IHC-P,IHC-F,IF,ELISA
BN40904R-200ul
200ul
¥3490.00
交叉反應:Mouse,Rat(predicted:Human,Dog,Pig,Horse,Rabbit) 推薦應用:IHC-P,IHC-F,IF,ELISA
產品描述
| 英文名稱 | PYK2 |
| 中文名稱 | 富含脯氨酸的酪氨酸激酶2抗體 |
| 別 名 | CADTK; CAK beta; CAKB antibody; CAKbeta; Calcium dependent tyrosine kinase; Calcium-dependent tyrosine kinase; Cell adhesion kinase beta; E430023O05Rik; EC 2.7.10.2; FADK 2; FADK2; FAK 2; FAK1; FAK2; Focal Adhesion Kinase 2; MGC124628; PKB; pp125FAK; Proline Rich Tyrosine Kinase 2; Proline-rich tyrosine kinase 2; Protein kinase B; Protein Tyrosine Kinase 2 Beta; PTK 2B; PTK antibody PTK2B; PTK2B protein tyrosine kinase 2 beta; PYK 2; PYK2; RAFTK; Related adhesion focal tyrosine kinase; FAK2_HUMAN; PTK2B protein tyrosine kinase 2 beta. |
| 研究領域 | 腫瘤 免疫學 信號轉導 轉錄調節因子 激酶和磷酸酶 細胞粘附分子 |
| 抗體來源 | Rabbit |
| 克隆類型 | Polyclonal |
| 交叉反應 | Mouse, Rat, (predicted: Human, Dog, Pig, Horse, Rabbit, ) |
| 產品應用 | ELISA=1:5000-10000 IHC-P=1:100-500 IHC-F=1:100-500 IF=1:100-500 (石蠟切片需做抗原修復) not yet tested in other applications. optimal dilutions/concentrations should be determined by the end user. |
| 分 子 量 | 116kDa |
| 細胞定位 | 細胞核 細胞漿 細胞膜 |
| 性 狀 | Liquid |
| 濃 度 | 1mg/ml |
| 免 疫 原 | KLH conjugated synthetic peptide derived from human FAK2/Pyk2:31-130/1009 |
| 亞 型 | IgG |
| 純化方法 | affinity purified by Protein A |
| 儲 存 液 | 0.01M TBS(pH7.4) with 1% BSA, 0.03% Proclin300 and 50% Glycerol. |
| 保存條件 | Shipped at 4℃. Store at -20 °C for one year. Avoid repeated freeze/thaw cycles. |
| PubMed | PubMed |
| 產品介紹 | This gene encodes a cytoplasmic protein tyrosine kinase which is involved in calcium-induced regulation of ion channels and activation of the map kinase signaling pathway. The encoded protein may represent an important signaling intermediate between neuropeptide-activated receptors or neurotransmitters that increase calcium flux and the downstream signals that regulate neuronal activity. The encoded protein undergoes rapid tyrosine phosphorylation and activation in response to increases in the intracellular calcium concentration, nicotinic acetylcholine receptor activation, membrane depolarization, or protein kinase C activation. This protein has been shown to bind CRK-associated substrate, nephrocystin, GTPase regulator associated with FAK, and the SH2 domain of GRB2. The encoded protein is a member of the FAK subfamily of protein tyrosine kinases but lacks significant sequence similarity to kinases from other subfamilies. Four transcript variants encoding two different isoforms have been found for this gene. [provided by RefSeq, Jul 2008] Function: Non-receptor protein-tyrosine kinase that regulates reorganization of the actin cytoskeleton, cell polarization, cell migration, adhesion, spreading and bone remodeling. Plays a role in the regulation of the humoral immune response, and is required for normal levels of marginal B-cells in the spleen and normal migration of splenic B-cells. Required for normal macrophage polarization and migration towards sites of inflammation. Regulates cytoskeleton rearrangement and cell spreading in T-cells, and contributes to the regulation of T-cell responses. Promotes osteoclastic bone resorption; this requires both PTK2B/PYK2 and SRC. May inhibit differentiation and activity of osteoprogenitor cells. Functions in signaling downstream of integrin and collagen receptors, immune receptors, G-protein coupled receptors (GPCR), cytokine, chemokine and growth factor receptors, and mediates responses to cellular stress. Forms multisubunit signaling complexes with SRC and SRC family members upon activation; this leads to the phosphorylation of additional tyrosine residues, creating binding sites for scaffold proteins, effectors and substrates. Regulates numerous signaling pathways. Promotes activation of phosphatidylinositol 3-kinase and of the AKT1 signaling cascade. Promotes activation of NOS3. Regulates production of the cellular messenger cGMP. Promotes activation of the MAP kinase signaling cascade, including activation of MAPK1/ERK2, MAPK3/ERK1 and MAPK8/JNK1. Promotes activation of Rho family GTPases, such as RHOA and RAC1. Recruits the ubiquitin ligase MDM2 to P53/TP53 in the nucleus, and thereby regulates P53/TP53 activity, P53/TP53 ubiquitination and proteasomal degradation. Acts as a scaffold, binding to both PDPK1 and SRC, thereby allowing SRC to phosphorylate PDPK1 at 'Tyr-9, 'Tyr-373', and 'Tyr-376'. Promotes phosphorylation of NMDA receptors by SRC family members, and thereby contributes to the regulation of NMDA receptor ion channel activity and intracellular Ca(2+) levels. May also regulate potassium ion transport by phosphorylation of potassium channel subunits. Phosphorylates SRC; this increases SRC kinase activity. Phosphorylates ASAP1, NPHP1, KCNA2 and SHC1. Promotes phosphorylation of ASAP2, RHOU and PXN; this requires both SRC and PTK2/PYK2. Subunit: Homodimer, or homooligomer. Interacts with SIRPA and SH2D3C. Interacts with ARHGAP10. Interacts with DLG4 (By similarity). Interacts with NPHP1, ASAP1, ASAP2, ARHGAP26, SKAP2 and TGFB1I1. The Tyr-402 phosphorylated form interacts with SRC (via SH2 domain) and SRC family members. Forms a signaling complex with EPHA1, LCK and phosphatidylinositol 3-kinase; upon activation by EFNA1. Interacts with GRB2 (via SH2 domain). Interacts with P53/TP53 and MDM2. Interacts with MYLK. Interacts with BCAR1. Interacts with PDPK1. Interacts (hypophosphorylated) with PXN. Interacts with RB1CC1. Interacts with RHOU. Interacts with VAV1. Interacts with LPXN and PTPN12. Subcellular Location: Cytoplasm. Cytoplasm, perinuclear region. Cell membrane; Peripheral membrane protein; Cytoplasmic side. Cell junction, focal adhesion. Cell projection, lamellipodium. Cytoplasm, cell cortex. Nucleus. Note=Interaction with NPHP1 induces the membrane-association of the kinase. Colocalizes with integrins at the cell periphery. Tissue Specificity: Most abundant in the brain, with highest levels in amygdala and hippocampus. Low levels in kidney (at protein level). Also expressed in spleen and lymphocytes. Post-translational modifications: Phosphorylated on tyrosine residues in response to various stimuli that elevate the intracellular calcium concentration; this activation is indirect and may be mediated by production of reactive oxygen species (ROS). Tyr-402 is the major autophosphorylation site, but other kinases can also phosphorylate Tyr-402. Autophosphorylation occurs in trans, i.e. one subunit of the dimeric receptor phosphorylates tyrosine residues on the other subunit. Phosphorylation at Tyr-402 promotes interaction with SRC and SRC family members, leading to phosphorylation at Tyr-579; Tyr-580 and Tyr-881. Phosphorylation at Tyr-881 is important for interaction with GRB2. Phosphorylated on tyrosine residues upon activation of FGR and PKC. Recruitment by NPHP1 to cell matrix adhesions initiates Tyr-402 phosphorylation. In monocytes, adherence to substrata is required for tyrosine phosphorylation and kinase activation. Angiotensin II, thapsigargin and L-alpha-lysophosphatidic acid (LPA) also induce autophosphorylation and increase kinase activity. Phosphorylation by MYLK promotes ITGB2 activation and is thus essential to trigger neutrophil transmigration during lung injury. Dephosphorylated by PTPN12. DISEASE: Note=Aberrant PTK2B/PYK2 expression may play a role in cancer cell proliferation, migration and invasion, in tumor formation and metastasis. Elevated PTK2B/PYK2 expression is seen in gliomas, hepatocellular carcinoma, lung cancer and breast cancer. Similarity: Belongs to the protein kinase superfamily. Tyr protein kinase family. FAK subfamily. Contains 1 FERM domain. Contains 1 protein kinase domain. SWISS: Q14289 Gene ID: 2185 Database links: Entrez Gene: 2185 Human Entrez Gene: 19229 Mouse Omim: 601212 Human SwissProt: Q14289 Human SwissProt: Q9QVP9 Mouse Unigene: 491322 Human Unigene: 21613 Mouse Unigene: 11025 Rat Important Note: This product as supplied is intended for research use only, not for use in human, therapeutic or diagnostic applications. 富含脯氨酸的酪氨酸激酶 2 (protein richtyro sinekinase 2 ,PYK2 ) ,又稱細胞粘附激酶β(cellularadhesionkinaseβ ,CAKβ)、相關粘附聚焦酪氨酸激酶(relatedadhesionfocaltyrosinekinase ,RAFTK) ,是粘著斑激酶 (focaladhesionkinase,FAK)家族的成員之一。PYK2是FAK家族的成員之一 ,是一種鈣依賴性酪氨酸激酶 ,在氨基酸序列上與FAK有 4 5 %的同源性。它的活化涉及了多條信號傳導通路 ,與離子通道的調節、細胞骨架的聯系及細胞增殖、凋亡密切相關。血管緊張素Ⅱ、一氧化氮可調節PYK2的活性。在神經系統中高度表達的蛋白酪氨酸激酶 (Pyk2),其酪氨酸殘基因為各種G蛋白偶聯受體和胞外信號而被磷酸化,從而增加胞內鈣離子的濃度. |

