

貨號
產品規格
售價
備注
BN41015R-100ul
100ul
¥2360.00
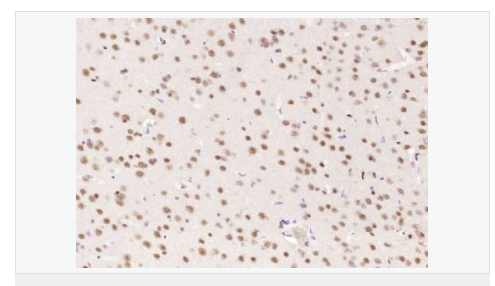
交叉反應:Mouse,Rat(predicted:Human,Dog,Pig,Cow,Horse) 推薦應用:IHC-P,IHC-F,ICC,IF,ELISA
BN41015R-200ul
200ul
¥3490.00
交叉反應:Mouse,Rat(predicted:Human,Dog,Pig,Cow,Horse) 推薦應用:IHC-P,IHC-F,ICC,IF,ELISA
產品描述
| 英文名稱 | Alpha B Crystallin |
| 中文名稱 | α晶狀體球蛋白B/αB-crystallin抗體 |
| 別 名 | CRYAB; CRYA2; Alpha crystallin B chain; AACRYA; Alpha B crystalline; Alpha crystallin B chain; Alpha(B) crystalline; Alpha(B)-crystallin; Alpha-crystallin B chain; CRYAB_HUMAN; Crystallin alpha B; Crystallin alpha polypeptide 2; CTPP 2; CTPP2; Heat shock 20 kD like protein; Heat shock protein beta 5; Heat shock protein beta-5; HSPB5; NY REN 27 antigen; Renal carcinoma antigen NY REN 27; Renal carcinoma antigen NY-REN-27; Rosenthal fiber component. |
| 研究領域 | 腫 |
| 抗體來源 | Rabbit |
| 克隆類型 | Polyclonal |
| 交叉反應 | Mouse, Rat, (predicted: Human, Dog, Pig, Cow, Horse, ) |
| 產品應用 | ELISA=1:5000-10000 IHC-P=1:100-500 IHC-F=1:100-500 ICC=1:100-500 IF=1:100-500 (石蠟切片需做抗原修復) not yet tested in other applications. optimal dilutions/concentrations should be determined by the end user. |
| 分 子 量 | 20kDa |
| 細胞定位 | 細胞核 細胞漿 |
| 性 狀 | Liquid |
| 濃 度 | 1mg/ml |
| 免 疫 原 | KLH conjugated synthetic peptide derived from human Alpha B Crystallin.:51-150/175 |
| 亞 型 | IgG |
| 純化方法 | affinity purified by Protein A |
| 儲 存 液 | 0.01M TBS(pH7.4) with 1% BSA, 0.03% Proclin300 and 50% Glycerol. |
| 保存條件 | Shipped at 4℃. Store at -20 °C for one year. Avoid repeated freeze/thaw cycles. |
| PubMed | PubMed |
| 產品介紹 | Crystallins are separated into two classes: taxon-specific, or enzyme, and ubiquitous. The latter class constitutes the major proteins of vertebrate eye lens and maintains the transparency and refractive index of the lens. Since lens central fiber cells lose their nuclei during development, these crystallins are made and then retained throughout life, making them extremely stable proteins. Mammalian lens crystallins are divided into alpha, beta, and gamma families; beta and gamma crystallins are also considered as a superfamily. Alpha and beta families are further divided into acidic and basic groups. Seven protein regions exist in crystallins: four homologous motifs, a connecting peptide, and N- and C-terminal extensions. Alpha crystallins are composed of two gene products: alpha-A and alpha-B, for acidic and basic, respectively. Alpha crystallins can be induced by heat shock and are members of the small heat shock protein (sHSP also known as the HSP20) family. They act as molecular chaperones although they do not renature proteins and release them in the fashion of a true chaperone; instead they hold them in large soluble aggregates. Post-translational modifications decrease the ability to chaperone. These heterogeneous aggregates consist of 30-40 subunits; the alpha-A and alpha-B subunits have a 3:1 ratio, respectively. Two additional functions of alpha crystallins are an autokinase activity and participation in the intracellular architecture. Alpha-A and alpha-B gene products are differentially expressed; alpha-A is preferentially restricted to the lens and alpha-B is expressed widely in many tissues and organs. Elevated expression of alpha-B crystallin occurs in many neurological diseases; a missense mutation cosegregated in a family with a desmin-related myopathy. [provided by RefSeq, Jul 2008]. Function: May contribute to the transparency and refractive index of the lens. Has chaperone-like activity, preventing aggregation of various proteins under a wide range of stress conditions. Subunit: Heteropolymer composed of three CRYAA and one CRYAB subunits. Aggregates with homologous proteins, including the small heat shock protein HSPB1, to form large heteromeric complexes. Inter-subunit bridging via zinc ions enhances stability, which is crucial as there is no protein turn over in the lens. Interacts with HSPBAP1 and TTN/titin. Subcellular Location: Cytoplasm. Nucleus. Note=Translocates to the nucleus during heat shock and resides in sub-nuclear structures known as SC35 speckles or nuclear splicing speckles. Tissue Specificity: Lens as well as other tissues. DISEASE: Defects in CRYAB are the cause of myopathy myofibrillar type 2 (MFM2) [MIM:608810]. A neuromuscular disorder that results in weakness of the proximal and distal limb muscles, weakness of the neck, velopharynx and trunk muscles, hypetrophic cardiomyopathy, and cataract in a subset of patients. [DISEASE] Defects in CRYAB are the cause of cataract posterior polar type 2 (CTPP2) [MIM:613763]. A subcapsular opacity, usually disk-shaped, located at the back of the lens. It can have a marked effect on visual acuity. [DISEASE] Defects in CRYAB are the cause of myopathy myofibrillar fatal infantile hypertonic alpha-B crystallin-related (MFMFIH-CRYAB) [MIM:613869]. MFMFIH-CRYAB is a muscular dystrophy with onset in the first weeks of life after a normal neonatal period. Affected infants show rapidly progressive muscular rigidity of the trunk and limbs associated with increasing respiratory difficulty resulting in death before age 3 years. Similarity: Belongs to the small heat shock protein (HSP20) family. SWISS: P02511 Gene ID: 1410 Database links: Entrez Gene: 1410 Human Entrez Gene: 12955 Mouse Omim: 123590 Human SwissProt: P02511 Human SwissProt: P23927 Mouse Unigene: 53454 Human Unigene: 178 Mouse Unigene: 98208 Rat Important Note: This product as supplied is intended for research use only, not for use in human, therapeutic or diagnostic applications. |

