

貨號
產品規格
售價
備注
BN41164R-100ul
100ul
¥2360.00
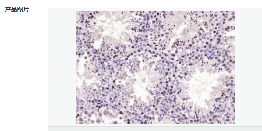
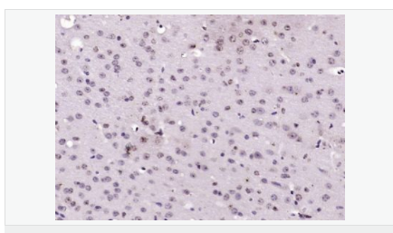
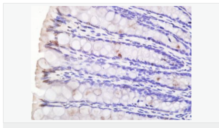
交叉反應:Human,Mouse(predicted:Rat,Dog,Pig,Horse,Sheep) 推薦應用:WB,IHC-P,Flow-Cyt,ELISA
BN41164R-200ul
200ul
¥3490.00
交叉反應:Human,Mouse(predicted:Rat,Dog,Pig,Horse,Sheep) 推薦應用:WB,IHC-P,Flow-Cyt,ELISA
產品描述
| 英文名稱 | STK36 |
| 中文名稱 | 絲氨酸/蘇氨酸激酶36融合同源蛋白抗體 |
| 別 名 | FU antibody Fused homolog; KIAA1278; Serine/threonine kinase 36, fused homolog; STK36_HUMAN. |
| 研究領域 | 腫瘤 細胞生物 免疫學 激酶和磷酸酶 |
| 抗體來源 | Rabbit |
| 克隆類型 | Polyclonal |
| 交叉反應 | Human, Mouse, (predicted: Rat, Dog, Pig, Horse, Sheep, ) |
| 產品應用 | WB=1:500-2000 ELISA=1:5000-10000 IHC-P=1:100-500 Flow-Cyt=1ug/Test (石蠟切片需做抗原修復) not yet tested in other applications. optimal dilutions/concentrations should be determined by the end user. |
| 分 子 量 | 144kDa |
| 細胞定位 | 細胞核 細胞漿 |
| 性 狀 | Liquid |
| 濃 度 | 1mg/ml |
| 免 疫 原 | KLH conjugated synthetic peptide derived from human STK36:21-120/1315 |
| 亞 型 | IgG |
| 純化方法 | affinity purified by Protein A |
| 儲 存 液 | 0.01M TBS(pH7.4) with 1% BSA, 0.03% Proclin300 and 50% Glycerol. |
| 保存條件 | Shipped at 4℃. Store at -20 °C for one year. Avoid repeated freeze/thaw cycles. |
| PubMed | PubMed |
| 產品介紹 | Serine/threonine protein kinase required for postnatal development, possibly by regulating the homeostasis of cerebral spinal fluid or ciliary function. Controls the activity of the transcriptional regulators GLI1, GLI2 and GLI3 by opposing the effect of SUFU and promoting their nuclear localization. GLI2 requires an additional function of STK36 to become transcriptionally active, but the enzyme does not need to possess an active kinase catalytic site for this to occur. Function: Serine/threonine protein kinase which plays an important role in the sonic hedgehog (Shh) pathway by regulating the activity of GLI transcription factors. Controls the activity of the transcriptional regulators GLI1, GLI2 and GLI3 by opposing the effect of SUFU and promoting their nuclear localization. GLI2 requires an additional function of STK36 to become transcriptionally active, but the enzyme does not need to possess an active kinase catalytic site for this to occur. Required for postnatal development, possibly by regulating the homeostasis of cerebral spinal fluid or ciliary function. Essential for construction of the central pair apparatus of motile cilia. Subunit: Interacts with SPAG16 and KIF27 (By similarity). Subcellular Location: Cytoplasm. Nucleus. Note=Low levels also present in the nucleus. Tissue Specificity: Expressed at low levels in most fetal tissues, adult ovaries and at high levels in adult testis, where it is localized in germ cells. Similarity: Belongs to the protein kinase superfamily. Ser/Thr protein kinase family. Contains 1 protein kinase domain. SWISS: Q9NRP7 Gene ID: 27148 Database links: Entrez Gene: 27148 Human Entrez Gene: 269209 Mouse Omim: 607652 Human SwissProt: Q9NRP7 Human SwissProt: Q69ZM6 Mouse Unigene: 471404 Human Unigene: 712986 Human Unigene: 310974 Mouse Unigene: 198846 Rat Important Note: This product as supplied is intended for research use only, not for use in human, therapeutic or diagnostic applications. |




