

貨號
產品規格
售價
備注
BN41175R-100ul
100ul
¥2360.00
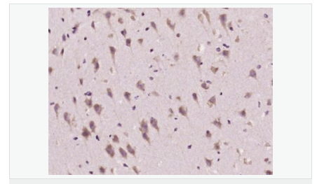
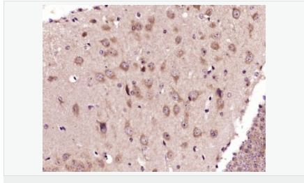
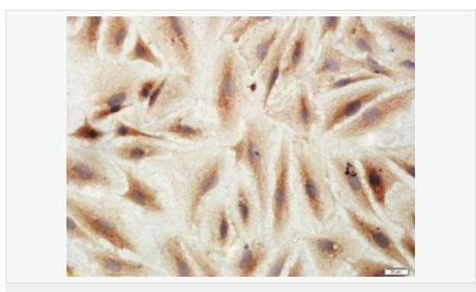
交叉反應:Human,Mouse,Rat(predicted:Dog,Rabbit,GuineaPig) 推薦應用:WB,IHC-P,IHC-F,ICC,IF,Flow-Cyt
BN41175R-200ul
200ul
¥3490.00
交叉反應:Human,Mouse,Rat(predicted:Dog,Rabbit,GuineaPig) 推薦應用:WB,IHC-P,IHC-F,ICC,IF,Flow-Cyt
產品描述
| 英文名稱 | ADORA2B |
| 中文名稱 | 腺苷A2b受體/神經生長因子1受體抗體 |
| 別 名 | Adenosine A2b Receptor; adora 2; adora 2b; ADORA2; ADORA2B; HGNC:264; Netrin 1 receptor; AA2BR_HUMAN. |
| 研究領域 | 腫瘤 心血管 免疫學 染色質和核信號 信號轉導 G蛋白偶聯受體 |
| 抗體來源 | Rabbit |
| 克隆類型 | Polyclonal |
| 交叉反應 | Human, Mouse, Rat, (predicted: Dog, Rabbit, Guinea Pig, ) |
| 產品應用 | WB=1:500-2000 IHC-P=1:100-500 IHC-F=1:100-500 Flow-Cyt=3ug/test ICC=1:100-500 IF=1:100-500 (石蠟切片需做抗原修復) not yet tested in other applications. optimal dilutions/concentrations should be determined by the end user. |
| 分 子 量 | 37kDa |
| 細胞定位 | 細胞膜 |
| 性 狀 | Liquid |
| 濃 度 | 1mg/ml |
| 免 疫 原 | KLH conjugated synthetic peptide derived from human ADORA2B:101-200/332 <Extracellular> |
| 亞 型 | IgG |
| 純化方法 | affinity purified by Protein A |
| 儲 存 液 | 0.01M TBS(pH7.4) with 1% BSA, 0.03% Proclin300 and 50% Glycerol. |
| 保存條件 | Shipped at 4℃. Store at -20 °C for one year. Avoid repeated freeze/thaw cycles. |
| PubMed | PubMed |
| 產品介紹 | This gene encodes an adenosine receptor that is a member of the G protein-coupled receptor superfamily. This integral membrane protein stimulates adenylate cyclase activity in the presence of adenosine. This protein also interacts with netrin-1, which is involved in axon elongation. The gene is located near the Smith-Magenis syndrome region on chromosome 17. [provided by RefSeq, Jul 2008]. Function: Receptor for adenosine. The activity of this receptor is mediated by G proteins which activate adenylyl cyclase. Subcellular Location: Cell membrane; Multi-pass membrane protein. Similarity: Belongs to the G-protein coupled receptor 1 family. SWISS: P29275 Gene ID: 136 Database links: Entrez Gene: 136 Human Omim: 600446 Human SwissProt: P29275 Human Unigene: 167046 Human Important Note: This product as supplied is intended for research use only, not for use in human, therapeutic or diagnostic applications. |





