

貨號
產品規格
售價
備注
BN41283R-100ul
100ul
¥2360.00
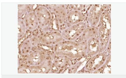
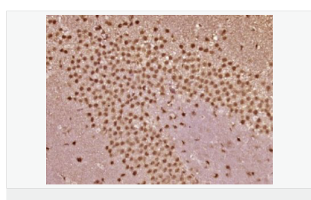
交叉反應:Rat,Mouse(predicted:Orangutan,Sheep,Rabbit,Cow,Pig,Dog,Human) 推薦應用:WB,IHC-P,IHC-F,IF,ELISA
BN41283R-200ul
200ul
¥3490.00
交叉反應:Rat,Mouse(predicted:Orangutan,Sheep,Rabbit,Cow,Pig,Dog,Human) 推薦應用:WB,IHC-P,IHC-F,IF,ELISA
產品描述
| 英文名稱 | VHLH |
| 中文名稱 | 腦視網膜血管瘤G7蛋白抗體(逢希伯-林道氏病) |
| 別 名 | pVHL; pVHL; G7 protein; Elongin binding protein; HRCA 1; HRCA1; Protein G7; pVHL; RCA 1; RCA1; VHL 1; VHL; VHL_HUMAN; VHL1; VHLH; Von Hippel Lindau disease tumor suppressor; von Hippel Lindau syndrome; von Hippel Lindau tumor suppressor; Von Hippel-Lindau disease tumor suppressor. |
| 研究領域 | 腫瘤 細胞生物 細胞周期蛋白 細胞分化 表觀遺傳學 |
| 抗體來源 | Rabbit |
| 克隆類型 | Polyclonal |
| 交叉反應 | Mouse, Rat, (predicted: Human, Dog, Pig, Cow, Rabbit, Sheep, orangutan) |
| 產品應用 | WB=1:500-2000 ELISA=1:5000-10000 IHC-P=1:100-500 IHC-F=1:100-500 IF=1:100-500 (石蠟切片需做抗原修復) not yet tested in other applications. optimal dilutions/concentrations should be determined by the end user. |
| 分 子 量 | 24kDa |
| 細胞定位 | 細胞核 細胞漿 細胞膜 |
| 性 狀 | Liquid |
| 濃 度 | 1mg/ml |
| 免 疫 原 | KLH conjugated synthetic peptide derived from human von Hippel Lindau tumor suppressor:101-200/213 |
| 亞 型 | IgG |
| 純化方法 | affinity purified by Protein A |
| 儲 存 液 | 0.01M TBS(pH7.4) with 1% BSA, 0.03% Proclin300 and 50% Glycerol. |
| 保存條件 | Shipped at 4℃. Store at -20 °C for one year. Avoid repeated freeze/thaw cycles. |
| PubMed | PubMed |
| 產品介紹 | Von Hippel-Lindau syndrome (VHL) is a dominantly inherited familial cancer syndrome predisposing to a variety of malignant and benign tumors. A germline mutation of this gene is the basis of familial inheritance of VHL syndrome. The protein encoded by this gene is a component of the protein complex that includes elongin B, elongin C, and cullin-2, and possesses ubiquitin ligase E3 activity. This protein is involved in the ubiquitination and degradation of hypoxia-inducible-factor (HIF), which is a transcription factor that plays a central role in the regulation of gene expression by oxygen. RNA polymerase II subunit POLR2G/RPB7 is also reported to be a target of this protein. Alternatively spliced transcript variants encoding distinct isoforms have been observed. [provided by RefSeq, Jul 2008]. Function: Involved in the ubiquitination and subsequent proteasomal degradation via the von Hippel-Lindau ubiquitination complex. Seems to act as target recruitment subunit in the E3 ubiquitin ligase complex and recruits hydroxylated hypoxia-inducible factor (HIF) under normoxic conditions. Involved in transcriptional repression through interaction with HIF1A, HIF1AN and histone deacetylases. Ubiquitinates, in an oxygen-responsive manner, ADRB2. Subunit: Component of the VCB (VHL-Elongin BC-CUL2) complex; this complex acts as a ubiquitin-ligase E3 and directs proteasome-dependent degradation of targeted proteins. Interacts with CUL2; this interaction is dependent on the integrity of the trimeric VBC complex. Interacts (via the beta domain) with HIF1A (via the NTAD domain); this interaction mediates degradation of HIF1A in normoxia and, in hypoxia, prevents ubiqitination and degradation of HIF1A by mediating hypoxia-induced translocation to the nucleus, a process which requires a hypoxia-dependent regulatory signal. Interacts with ADRB2; the interaction, in normoxia, is dependent on hydroxylation of ADRB2 and the subsequent VCB-mediated ubiquitination and degradation of ADRB2. Under hypoxia, hydroxylation, interaction with VHL, ubiquitination and subsequent degradation of ADRB2 are dramatically decreased. Interacts with RNF139, USP33 and PHF17. Found in a complex composed of LIMD1, VHL, EGLN1/PHD2, TCEB2 AND CUL2. Isoform 1 and isoform 3 interact with LIMD1 (via LIM zinc-binding 2), AJUBA (via LIM domains) and WTIP (via LIM domains). Interacts with EPAS1 Subcellular Location: Isoform 1: Cytoplasm. Membrane; Peripheral membrane protein. Nucleus. Note=Found predominantly in the cytoplasm and with less amounts nuclear or membrane-associated. Colocalizes with ADRB2 at the cell membrane. Isoform 3: Cytoplasm. Nucleus. Note=Equally distributed between the nucleus and the cytoplasm but not membrane-associated. Tissue Specificity: Expressed in the adult and fetal brain and kidney DISEASE: Defects in VHL are a cause of susceptibility to pheochromocytoma (PCC). A catecholamine-producing tumor of chromaffin tissue of the adrenal medulla or sympathetic paraganglia. The cardinal symptom, reflecting the increased secretion of epinephrine and norepinephrine, is hypertension, which may be persistent or intermittent. Defects in VHL are the cause of von Hippel-Lindau disease (VHLD). VHLD is a dominantly inherited familial cancer syndrome characterized by the development of retinal angiomatosis, cerebellar and spinal hemangioblastoma, renal cell carcinoma (RCC), phaeochromocytoma and pancreatic tumors. VHL type 1 is without pheochromocytoma, type 2 is with pheochromocytoma. VHL type 2 is further subdivided into types 2A (pheochromocytoma, retinal angioma, and hemangioblastomas without renal cell carcinoma and pancreatic cyst) and 2B (pheochromocytoma, retinal angioma, and hemangioblastomas with renal cell carcinoma and pancreatic cyst). VHL type 2C refers to patients with isolated pheochromocytoma without hemangioblastoma or renal cell carcinoma. The estimated incidence is 3/100000 births per year and penetrance is 97% by age 60 years. SWISS: P40337 Gene ID: 7428 Database links: Entrez Gene: 7428 Human Entrez Gene: 22346 Mouse Omim: 608537 Human SwissProt: P40337 Human SwissProt: P40338 Mouse Unigene: 517792 Human Unigene: 607789 Human Unigene: 29407 Mouse Important Note: This product as supplied is intended for research use only, not for use in human, therapeutic or diagnostic applications. |


