

貨號
產品規格
售價
備注
BN41347R-100ul
100ul
¥2470.00
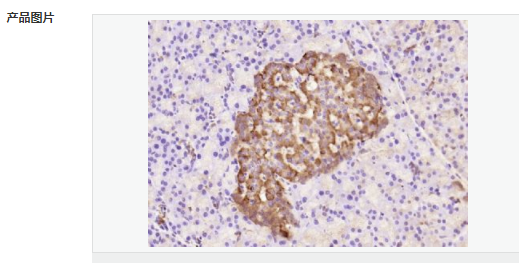
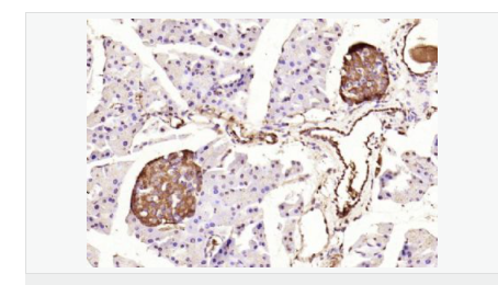
交叉反應:Human,Mouse,Rat(predicted:Dog,Pig,Cow,Rabbit,Sheep,GuineaPig) 推薦應用:IHC-P,IHC-F,ICC,IF,Flow-Cyt,ELISA
產品描述
| 英文名稱 | phospho-IRS1 (Tyr632) |
| 中文名稱 | 磷酸化胰島素受體底物p-IRS-1抗體 |
| 別 名 | IRS1 (phospho Tyr632); IRS1 (phospho Y632); p-IRS1 (phospho Y632); HIRS 1; HIRS1; Insulin Receptor Substrate 1; IRS 1; IRS-1; IRS1; IRS1_HUMAN; OTTHUMP00000164234. |
| 產品類型 | 磷酸化抗體 |
| 研究領域 | 腫瘤 細胞生物 神經生物學 信號轉導 糖尿病 細胞膜蛋白 |
| 抗體來源 | Rabbit |
| 克隆類型 | Polyclonal |
| 交叉反應 | Human, Mouse, Rat, (predicted: Dog, Pig, Cow, Rabbit, Sheep, Guinea Pig, ) |
| 產品應用 | ELISA=1:5000-10000 IHC-P=1:100-500 IHC-F=1:100-500 Flow-Cyt=1ug/Test ICC=1:100-500 IF=1:100-500 (石蠟切片需做抗原修復) not yet tested in other applications. optimal dilutions/concentrations should be determined by the end user. |
| 分 子 量 | 132kDa |
| 細胞定位 | 細胞膜 |
| 性 狀 | Liquid |
| 濃 度 | 1mg/ml |
| 免 疫 原 | KLH conjugated Synthesised phosphopeptide derived from human IRS1 around the phosphorylation site of Tyr632:GD(p-Y)MP |
| 亞 型 | IgG |
| 純化方法 | affinity purified by Protein A |
| 儲 存 液 | Preservative: 15mM Sodium Azide, Constituents: 1% BSA, 0.01M PBS, pH 7.4 |
| 保存條件 | Shipped at 4℃. Store at -20 °C for one year. Avoid repeated freeze/thaw cycles. |
| PubMed | PubMed |
| 產品介紹 | Insulin receptor substrates (IRS) are responsible for several insulin related activities, such as glucose homeostasis, cell growth, cell transformation, apoptosis and insulin signal transduction. Serine/threonine phosphorylation of IRS1 has been demonstrated to be a negative regulator of insulin signaling and is responsible for its degradation, although IRS1 degradation pathways are not well understood. IRS1 has also been shown to be constitutively activated in cancers such as breast cancer, Wilm's tumors, and adrenal cortical carcinomas, thus making IRS1 phosphorylation and subsequent degradation an attractive therapeutic target. To date there have been four subtypes identified: IRS1, 2, 3 and 4, with IRS1 being widely expressed. Function: May mediate the control of various cellular processes by insulin. When phosphorylated by the insulin receptor binds specifically to various cellular proteins containing SH2 domains such as phosphatidylinositol 3-kinase p85 subunit or GRB2. Activates phosphatidylinositol 3-kinase when bound to the regulatory p85 subunit. Subunit: Interacts with UBTF and PIK3CA (By similarity). Interacts (via phosphorylated YXXM motifs) with PIK3R1 (By similarity). Interacts with ROCK1 and FER (By similarity). Interacts (via PH domain) with PHIP (By similarity). Interacts with GRB2 (By similarity). Interacts with SOCS7. Interacts (via IRS-type PTB domain) with IGF1R and INSR (via the tyrosine-phosphorylated NPXY motif). Interacts with ALK. Interacts with EIF2AK2/PKR (By similarity). Subcellular Location: Membrane; Single-pass type I membrane protein. Tissue Specificity: Isoform Long and isoform Short are predominantly expressed in tissue targets of insulin metabolic effects: liver, adipose tissue and skeletal muscle but are also expressed in the peripheral nerve, kidney, pulmonary alveoli, pancreatic acini, placenta vascular endothelium, fibroblasts, monocytes, granulocytes, erythrocytes and skin. Isoform Short is preferentially expressed in fetal cells such as fetal fibroblasts, muscle, liver and kidney. Found as a hybrid receptor with IGF1R in muscle, heart, kidney, adipose tissue, skeletal muscle, hepatoma, fibroblasts, spleen and placenta (at protein level). Overexpressed in several tumors, including breast, colon, lung, ovary, and thyroid carcinomas. Post-translational modifications: Serine phosphorylation of IRS1 is a mechanism for insulin resistance. Ser-312 phosphorylation inhibits insulin action through disruption of IRS1 interaction with the insulin receptor (By similarity). Phosphorylation of Tyr-896 is required for GRB2-binding (By similarity). Phosphorylated by ALK. Phosphorylated at Ser-270, Ser-307, Ser-636 and Ser-1101 by RPS6KB1; phosphorylation induces accelerated degradation of IRS1. DISEASE: Polymorphisms in IRS1 may be involved in the etiology of non-insulin-dependent diabetes mellitus (NIDDM) [MIM:125853]. Similarity: Contains 1 IRS-type PTB domain. Contains 1 PH domain. SWISS: P35568 Gene ID: 3667 Database links: Entrez Gene: 3667 Human Omim: 147545 Human SwissProt: P35568 Human Unigene: 471508 Human Important Note: This product as supplied is intended for research use only, not for use in human, therapeutic or diagnostic applications. |


