

貨號
產品規格
售價
備注
BN41353R-100ul
100ul
¥2360.00
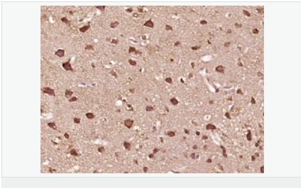
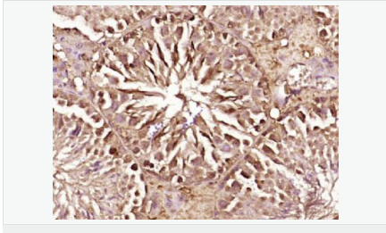
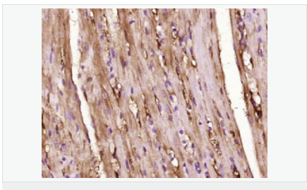
交叉反應:Human,Mouse,Rat(predicted:Pig,Horse,Rabbit) 推薦應用:WB,IHC-P,IHC-F,ICC,IF,ELISA
BN41353R-200ul
200ul
¥3490.00
交叉反應:Human,Mouse,Rat(predicted:Pig,Horse,Rabbit) 推薦應用:WB,IHC-P,IHC-F,ICC,IF,ELISA
產品描述
| 英文名稱 | CFLIP |
| 中文名稱 | 蛋白酶樣凋亡調節蛋白CASH抗體 |
| 別 名 | c FLIP; c FLIPL; c FLIPR; c FLIPS; c-FLIP; c-FLIPL; c-FLIPR; c-FLIPS; CASH; CASP8 and FADD like apoptosis regulator; CASP8 and FADD-like apoptosis regulator subunit p12; CASP8AP1; Caspase homolog; Caspase like apoptosis regulatory protein; Caspase related inducer of apoptosis; Caspase-eight-related protein; Caspase-like apoptosis regulatory protein; Casper; Cellular FLICE-like inhibitory protein; CFLA; Cflar; CFLAR_HUMAN; CLARP; FADD like anti apoptotic molecule; FADD-like antiapoptotic molecule 1; FLAME; FLAME-1; FLAME1; FLIP; I FLICE; I-FLICE; Inhibitor of FLICE; MACH-related inducer of toxicity; MRIT; OTTHUMP00000163715; OTTHUMP00000206475; OTTHUMP00000206476; OTTHUMP00000206478; OTTHUMP00000206479; OTTHUMP00000206480; OTTHUMP00000206482; OTTHUMP00000207360; Usurpin; Usurpin beta. |
| 研究領域 | 細胞生物 信號轉導 細胞凋亡 |
| 抗體來源 | Rabbit |
| 克隆類型 | Polyclonal |
| 交叉反應 | Mouse, Rat, (predicted: Human, Pig, Horse, Rabbit, ) |
| 產品應用 | WB=1:500-2000 ELISA=1:5000-10000 IHC-P=1:100-500 IHC-F=1:100-500 ICC=1:100-500 IF=1:100-500 (石蠟切片需做抗原修復) not yet tested in other applications. optimal dilutions/concentrations should be determined by the end user. |
| 分 子 量 | 43kDa |
| 細胞定位 | 細胞漿 |
| 性 狀 | Liquid |
| 濃 度 | 1mg/ml |
| 免 疫 原 | KLH conjugated synthetic peptide derived from human CFLIP:1-100/480 |
| 亞 型 | IgG |
| 純化方法 | affinity purified by Protein A |
| 儲 存 液 | 0.01M TBS(pH7.4) with 1% BSA, 0.03% Proclin300 and 50% Glycerol. |
| 保存條件 | Shipped at 4℃. Store at -20 °C for one year. Avoid repeated freeze/thaw cycles. |
| PubMed | PubMed |
| 產品介紹 | The protein encoded by this gene is a regulator of apoptosis and is structurally similar to caspase-8. However, the encoded protein lacks caspase activity and appears to be itself cleaved into two peptides by caspase-8. Several transcript variants encoding different isoforms have been found for this gene, and partial evidence for several more variants exists. [provided by RefSeq, Feb 2011] Function: Apoptosis regulator protein which may function as a crucial link between cell survival and cell death pathways in mammalian cells. Acts as an inhibitor of TNFRSF6 mediated apoptosis. A proteolytic fragment (p43) is likely retained in the death-inducing signaling complex (DISC) thereby blocking further recruitment and processing of caspase-8 at the complex. Full length and shorter isoforms have been shown either to induce apoptosis or to reduce TNFRSF-triggered apoptosis. Lacks enzymatic (caspase) activity. Tissue Specificity: Widely expressed. Higher expression in skeletal muscle, pancreas, heart, kidney, placenta, and peripheral blood leukocytes. Also detected in diverse cell lines. Isoform 8 is predominantly expressed in testis and skeletal muscle. Post-translational modifications: Proteolytically processed; probably by caspase-8. Processing likely occurs at the DISC and generates subunit p43 and p12. Similarity: Belongs to the peptidase C14A family. Contains 2 DED (death effector) domains. SWISS: O15519 Gene ID: 8837 Database links: Entrez Gene: 8837 Human Entrez Gene: 12633 Mouse Omim: 603599 Human SwissProt: O15519 Human SwissProt: O35732 Mouse Unigene: 390736 Human Unigene: 336848 Mouse Important Note: This product as supplied is intended for research use only, not for use in human, therapeutic or diagnostic applications. |




