

貨號
產品規格
售價
備注
BN41509R-50ul
50ul
¥1486.00
交叉反應:Human,Mouse,Rat(predicted:Dog,Pig,Cow,Rabbit,Sheep) 推薦應用:WB,IHC-P,IHC-F,IF,Flow-Cyt,ELISA
BN41509R-100ul
100ul
¥2360.00
交叉反應:Human,Mouse,Rat(predicted:Dog,Pig,Cow,Rabbit,Sheep) 推薦應用:WB,IHC-P,IHC-F,IF,Flow-Cyt,ELISA
BN41509R-200ul
200ul
¥3490.00
交叉反應:Human,Mouse,Rat(predicted:Dog,Pig,Cow,Rabbit,Sheep) 推薦應用:WB,IHC-P,IHC-F,IF,Flow-Cyt,ELISA
產品描述
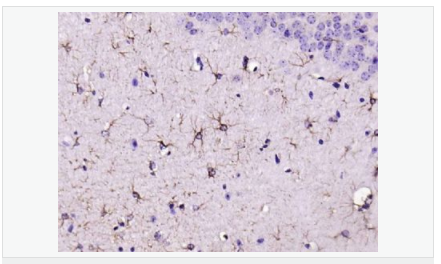
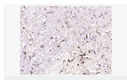
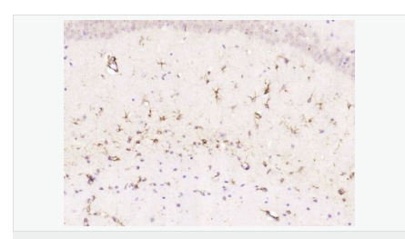
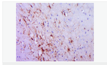
| 英文名稱 | GFAP |
| 中文名稱 | 膠質纖維酸性蛋白抗體 |
| 別 名 | Astrocyte; FLJ45472; GFAP; Glial Fibrillary Acidic Protein; Intermediate filament protein; GFAP_HUMAN. |
| 研究領域 | 腫瘤 細胞生物 免疫學 神經生物學 信號轉導 干細胞 細胞粘附分子 細胞類型標志物 細胞骨架 |
| 抗體來源 | Rabbit |
| 克隆類型 | Polyclonal |
| 交叉反應 | Human, Mouse, Rat, (predicted: Dog, Pig, Cow, Rabbit, Sheep, ) |
| 產品應用 | WB=1:500-2000 ELISA=1:5000-10000 IHC-P=1:200-1000 IHC-F=1:200-1000 Flow-Cyt=1μg/Test ICC=1:100 IF=1:200-800 (石蠟切片需做抗原修復) not yet tested in other applications. optimal dilutions/concentrations should be determined by the end user. |
| 分 子 量 | 48kDa |
| 細胞定位 | 細胞漿 |
| 性 狀 | Liquid |
| 濃 度 | 1mg/ml |
| 免 疫 原 | KLH conjugated Synthesised phosphopeptide derived from human GFAP around the phosphorylation site of Ser8:51-150/432 |
| 亞 型 | IgG |
| 純化方法 | affinity purified by Protein A |
| 儲 存 液 | 0.01M TBS(pH7.4) with 1% BSA, 0.03% Proclin300 and 50% Glycerol. |
| 保存條件 | Shipped at 4℃. Store at -20 °C for one year. Avoid repeated freeze/thaw cycles. |
| PubMed | PubMed |
| 產品介紹 | This gene encodes one of the major intermediate filament proteins of mature astrocytes. It is used as a marker to distinguish astrocytes from other glial cells during development. Mutations in this gene cause Alexander disease, a rare disorder of astrocytes in the central nervous system. Alternative splicing results in multiple transcript variants encoding distinct isoforms. [provided by RefSeq, Oct 2008] Function: GFAP, a class-III intermediate filament, is a cell-specific marker that, during the development of the central nervous system, distinguishes astrocytes from other glial cells. Subunit: Interacts with SYNM. Isoform 3 interacts with PSEN1 (via N-terminus). Subcellular Location: Cytoplasm. Note=Associated with intermediate filaments. Tissue Specificity: Expressed in cells lacking fibronectin. Post-translational modifications: Phosphorylated by PKN1. DISEASE: Defects in GFAP are a cause of Alexander disease (ALEXD) [MIM:203450]. Alexander disease is a rare disorder of the central nervous system. It is a progressive leukoencephalopathy whose hallmark is the widespread accumulation of Rosenthal fibers which are cytoplasmic inclusions in astrocytes. The most common form affects infants and young children, and is characterized by progressive failure of central myelination, usually leading to death usually within the first decade. Infants with Alexander disease develop a leukoencephalopathy with macrocephaly, seizures, and psychomotor retardation. Patients with juvenile or adult forms typically experience ataxia, bulbar signs and spasticity, and a more slowly progressive course. Similarity: Belongs to the intermediate filament family. SWISS: P14136 Gene ID: 2670 Database links: Entrez Gene: 2670 Human Entrez Gene: 14580 Mouse Omim: 137780 Human SwissProt: P14136 Human SwissProt: P03995 Mouse Important Note: This product as supplied is intended for research use only, not for use in human, therapeutic or diagnostic applications. 星形膠質細胞標志物 (Astrocyte Marker) GFAP是一個56kDa的中間絲蛋白(intermediate filament,IF),在中樞神經系統發育期是一個特異性的標志物,以區別星形細胞和其它膠質細胞。GFAP表達在皮層和海馬,急、慢性皮質酮治療時表達減少。 GFAP可以和人、大鼠、小鼠的GFAP反應,在正常和腫瘤性的星形膠質細胞陽性表達,而神經節細胞、神經元、成纖維細胞、少突膠質細胞和這些細胞來源的腫瘤細胞陰性表達,主要用于星形膠質瘤等中樞神經系統腫瘤的診斷和鑒別診斷,GFAP的缺乏可導致AD病。 |














