

貨號
產品規格
售價
備注
BN41517R-50ul
50ul
¥1486.00
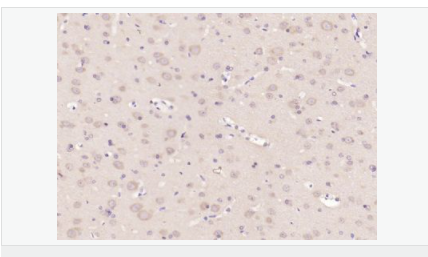
交叉反應:Human,Mouse,Rat(predicted:Sheep,Fruit Fly,yeast,) 推薦應用:WB,IHC-P,IHC-F,IF,Flow-Cyt
BN41517R-100ul
100ul
¥2360.00
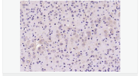
交叉反應:Human,Mouse,Rat(predicted:Sheep,Fruit Fly,yeast,) 推薦應用:WB,IHC-P,IHC-F,IF,Flow-Cyt
BN41517R-200ul
200ul
¥3490.00
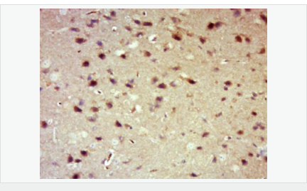
交叉反應:Human,Mouse,Rat(predicted:Sheep,Fruit Fly,yeast,) 推薦應用:WB,IHC-P,IHC-F,IF,Flow-Cyt
產品描述
| 英文名稱 | 14-3-3 Alpha + Beta + Gamma + Delta + Epsilon |
| 中文名稱 | 14-3-3蛋白/14-3-3 α/β/γ/δ/ε亞型抗體 |
| 別 名 | 14 3 3 protein beta; 14 3 3 protein beta/alpha; 14 3 3 protein zeta; KCIP 1; Protein 1054; Protein kinase C inhibitor protein 1; 14 3 3 protein delta; 14 3 3 protein gamma; YWHAB; YWHAZ; 14 3 3 protein Epsilon; 1433Z_HUMAN; 14-3-3ε; 14-3-3 α; 14-3-3 β; 14-3-3 γ; 14-3-3 δ. |
| 研究領域 | 細胞凋亡 |
| 抗體來源 | Rabbit |
| 克隆類型 | Polyclonal |
| 交叉反應 | Human, Mouse, Rat, (predicted: Sheep, Fruit Fly, yeast,11) |
| 產品應用 | WB=1:500-2000 IHC-P=1:100-500 IHC-F=1:100-500 Flow-Cyt=1μg /test. IF=1:100-500 (石蠟切片需做抗原修復) not yet tested in other applications. optimal dilutions/concentrations should be determined by the end user. |
| 分 子 量 | 27kDa |
| 細胞定位 | 細胞漿 |
| 性 狀 | Liquid |
| 濃 度 | 1mg/ml |
| 免 疫 原 | KLH conjugated synthetic peptide derived from human 14-3-3:174-245/245 |
| 亞 型 | IgG |
| 純化方法 | affinity purified by Protein A |
| 儲 存 液 | 0.01M TBS(pH7.4) with 1% BSA, 0.03% Proclin300 and 50% Glycerol. |
| 保存條件 | Shipped at 4℃. Store at -20 °C for one year. Avoid repeated freeze/thaw cycles. |
| PubMed | PubMed |
| 產品介紹 | 14-3-3 are activates tyrosine and tryptophan hydroxylases in the presence of Ca (2+)/calmodulin-dependent protein kinase II, and strongly activates protein kinase C. Is probably a multifunctional regulator of the cell signaling processes mediated by both kinases. Activates the ADP-ribosyltransferase (exoS) activity of bacterial origin. 14-3-3 proteins are localized in neurons, and are axonally transported to the nerve terminals. They may be also present, at lower levels, in various other eukaryotic tissues. It belongs to the 14-3-3 family. This antibody is reactive with 14-3-3 Alpha, Beta, Gamma, Delta, Epsilon. Function: Adapter protein implicated in the regulation of a large spectrum of both general and specialized signaling pathways. Binds to a large number of partners, usually by recognition of a phosphoserine or phosphothreonine motif. Binding generally results in the modulation of the activity of the binding partner. Subunit: Interacts with CDK16 and BSPRY. Interacts with WEE1 (C-terminal). Interacts with SAMSN1. Interacts with MLF1 (phosphorylated form); the interaction retains it in the cytoplasm. Interacts with Thr-phosphorylated ITGB2. Interacts with BCL2L11. Homodimer. Heterodimerizes with YWHAE. Homo- and hetero-dimerization is inhibited by phosphorylation on Ser-58. Interacts with FOXO4, NOXA1, SSH1 and ARHGEF2. Interacts with Pseudomonas aeruginosa exoS (unphosphorylated form). Interacts with BAX; the interaction occurs in the cytoplasm. Under stress conditions, MAPK8-mediated phosphorylation releases BAX to mitochondria. Interacts with phosphorylated RAF1; the interaction is inhibited when YWHAZ is phosphorylated on Thr-232. Interacts with TP53; the interaction enhances p53 transcriptional activity. The Ser-58 phosphorylated form inhibits this interaction and p53 transcriptional activity. Interacts with ABL1 (phosphorylated form); the interaction retains ABL1 in the cytoplasm. Interacts with PKA-phosphorylated AANAT; the interaction modulates AANAT enzymatic activity by increasing affinity for arylalkylamines and acetyl-CoA and protecting the enzyme from dephosphorylation and proteasomal degradation. It may also prevent thiol-dependent inactivation. Interacts with AKT1; the interaction phosphorylates YWHAZ and modulates dimerization. Interacts with GAB2 and TLK2. Subcellular Location: Cytoplasm. Melanosome. Note=Located to stage I to stage IV melanosomes. Post-translational modifications: The delta, brain-specific form differs from the zeta form in being phosphorylated. Phosphorylation on Ser-184 by MAPK8; promotes dissociation of BAX and translocation of BAX to mitochondria. Phosphorylation on Ser-58 by PKA; disrupts homodimerization and heterodimerization with YHAE and TP53. This phosphorylation appears to be activated by sphingosine. Phosphorylation on Thr-232; inhibits binding of RAF1. Similarity: Belongs to the 14-3-3 family. SWISS: P31946 Gene ID: 7529 Database links: Entrez Gene: 7529 Human Entrez Gene: 54401 Mouse Omim: 601289 Human SwissProt: P31946 Human SwissProt: Q9CQV8 Mouse Unigene: 643544 Human Unigene: 34319 Mouse Unigene: 485025 Mouse Unigene: 8653 Rat Important Note: This product as supplied is intended for research use only, not for use in human, therapeutic or diagnostic applications. 信號傳導(Signaling Intermediates) 14-3-3蛋白是一個涉及調節細胞凋亡、促細胞分裂信號傳導和細胞周期關卡的蛋白質家族。它被認為是通過與絲氨酸殘基磷酸化的蛋白質的結合介導的信號傳導中的關鍵調節物。通過與Bad(相關死亡因子)的結合, 14-3-3 蛋白由于將Bad隔離于胞液而防止了細胞凋亡。 蛋白是14-3-3家族成員。它廣泛分布于哺乳動物、兩棲類、昆蟲、植物和酵母菌的真核生物高度保守性多功能蛋白質。 目前已知至少有16個成員。此抗體識別分子量為30-31kDa的14-3-3蛋白αβγδε亞型。 |








