

貨號
產品規格
售價
備注
BN41875R-50ul
50ul
¥1486.00
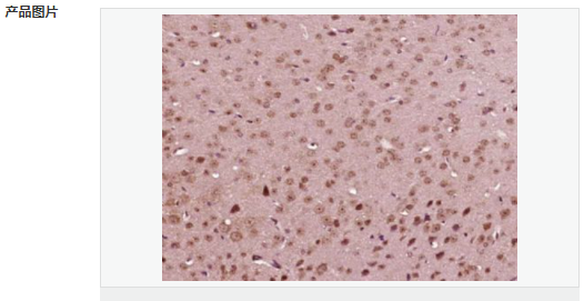
交叉反應:Human,Mouse,Rat(predicted:Dog,Pig,Cow,Horse,Sheep) 推薦應用:IHC-P,IHC-F,IF,Flow-Cyt,ELISA
BN41875R-100ul
100ul
¥2360.00
交叉反應:Human,Mouse,Rat(predicted:Dog,Pig,Cow,Horse,Sheep) 推薦應用:IHC-P,IHC-F,IF,Flow-Cyt,ELISA
BN41875R-200ul
200ul
¥3490.00
交叉反應:Human,Mouse,Rat(predicted:Dog,Pig,Cow,Horse,Sheep) 推薦應用:IHC-P,IHC-F,IF,Flow-Cyt,ELISA
產品描述
| 英文名稱 | BMAL1 |
| 中文名稱 | 芳香烴受體核轉錄蛋白樣1抗體 |
| 別 名 | ARNT like protein 1 brain and muscle; ARNTL; Aryl hydrocarbon receptor nuclear translocator like; Aryl hydrocarbon receptor nuclear translocator like protein 1; Aryl hydrocarbon receptor nuclear translocator-like protein 1; Basic helix loop helix PAS orphan MOP3; bHLH PAS protein JAP3; bHLHe5; BMAL 1; BMAL1c; Brain and muscle ARNT like 1; cycle; JAP 3; JAP3; Member of PAS protein 3; Member of PAS superfamily 3; MOP3; PAS domain-containing protein 3; PASD 3; PASD3; TIC. |
| 研究領域 | 腫瘤 免疫學 染色質和核信號 轉錄調節因子 |
| 抗體來源 | Rabbit |
| 克隆類型 | Polyclonal |
| 交叉反應 | Human, Mouse, Rat, (predicted: Dog, Pig, Cow, Horse, Sheep, ) |
| 產品應用 | ELISA=1:5000-10000 IHC-P=1:100-500 IHC-F=1:100-500 Flow-Cyt=1ug/Test IF=1:100-500 (石蠟切片需做抗原修復) not yet tested in other applications. optimal dilutions/concentrations should be determined by the end user. |
| 分 子 量 | 69kDa |
| 細胞定位 | 細胞核 細胞漿 |
| 性 狀 | Liquid |
| 濃 度 | 1mg/ml |
| 免 疫 原 | KLH conjugated synthetic peptide derived from human BMAL1:151-250/626 |
| 亞 型 | IgG |
| 純化方法 | affinity purified by Protein A |
| 儲 存 液 | 0.01M TBS(pH7.4) with 1% BSA, 0.03% Proclin300 and 50% Glycerol. |
| 保存條件 | Shipped at 4℃. Store at -20 °C for one year. Avoid repeated freeze/thaw cycles. |
| PubMed | PubMed |
| 產品介紹 | Component of the circadian clock oscillator which includes the CRY proteins, CLOCK or NPAS2, ARNTL or ARNTL2, CSNK1D and/or CSNK1E, TIMELESS and the PER proteins. Efficient DNA binding requires dimerization with another bHLH protein. Heterodimerization with CLOCK is required for E-box-dependent transactivation, for CLOCK nuclear translocation and degradation, and, for phosphorylation of both CLOCK and ARNTL. Interaction with PER and CRY proteins requires translocation to the nucleus. Interaction of the CLOCK-ARNTL heterodimer with PER or CRY inhibits transcription activation. Interacts with HSP90; with AHR in vitro, but not in vivo. Function: ARNTL-CLOCK heterodimers activate E-box element (3'-CACGTG-5') transcription of a number of proteins of the circadian clock. This transcription is inhibited in a feedback loop by PER, and also by CRY proteins. Subunit: Interacts with CRY2. Component of the circadian clock oscillator which includes the CRY proteins, CLOCK or NPAS2, ARNTL or ARNTL2, CSNK1D and/or CSNK1E, TIMELESS and the PER proteins. Efficient DNA binding requires dimerization with another bHLH protein. Heterodimerization with CLOCK is required for E-box-dependent transactivation, for CLOCK nuclear translocation and degradation, and, for phosphorylation of both CLOCK and ARNTL. Interaction with PER and CRY proteins requires translocation to the nucleus. Interaction of the CLOCK-ARNTL heterodimer with PER or CRY inhibits transcription activation. Interacts with HSP90; with AHR in vitro, but not in vivo. Part of a nuclear complex which also includes GNB2L1/RACK1 and PRKCA; GNB2L1 and PRKCA are recruited to the complex in a circadian manner. Subcellular Location: Nucleus. Tissue Specificity: Highly expressed in the adult brain, skeletal muscle and heart. Post-translational modifications: Acetylated on Lys-538 upon dimerization with CLOCK. Acetylation facilitates CRY1-mediated repression. Phosphorylated upon dimerization with CLOCK. Sumoylated on Lys-259 upon dimerization with CLOCK. Similarity: Contains 1 basic helix-loop-helix (bHLH) domain. Contains 1 PAC (PAS-associated C-terminal) domain. Contains 2 PAS (PER-ARNT-SIM) domains. SWISS: O00327 Gene ID: 406 Database links: Entrez Gene: 406 Human Entrez Gene: 11865 Mouse Omim: 602550 Human SwissProt: O00327 Human SwissProt: Q9WTL8 Mouse Unigene: 65734 Human Unigene: 33970 Mouse Unigene: 440371 Mouse Unigene: 14532 Rat Important Note: This product as supplied is intended for research use only, not for use in human, therapeutic or diagnostic applications. |




