

貨號
產品規格
售價
備注
BN41900R-50ul
50ul
¥1486.00
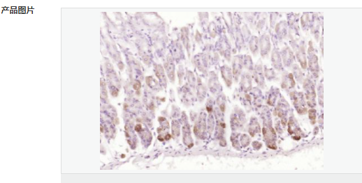
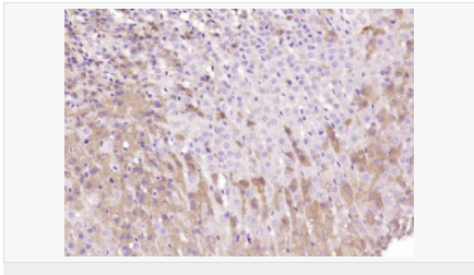
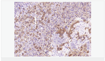
交叉反應:Human,Mouse,Rat 推薦應用:IHC-P
BN41900R-100ul
100ul
¥2360.00
交叉反應:Human,Mouse,Rat 推薦應用:IHC-P
BN41900R-200ul
200ul
¥3490.00
交叉反應:Human,Mouse,Rat 推薦應用:IHC-P
產品描述
| 英文名稱 | SEC14L1 |
| 中文名稱 | SEC14樣蛋白1抗體 |
| 別 名 | DKFZp686C06176; PRELID4A; SEC14 (S. cerevisiae) like 1; SEC14 like 1 (S. cerevisiae); SEC14 like protein 1; SEC14L; SEC14L1. |
| 研究領域 | 細胞生物 信號轉導 轉運蛋白 |
| 抗體來源 | Rabbit |
| 克隆類型 | Polyclonal |
| 交叉反應 | Mouse, Rat, (predicted: Human, ) |
| 產品應用 | IHC-P=1:100-500 (石蠟切片需做抗原修復) not yet tested in other applications. optimal dilutions/concentrations should be determined by the end user. |
| 分 子 量 | 81kDa |
| 細胞定位 | 細胞漿 |
| 性 狀 | Liquid |
| 濃 度 | 1mg/ml |
| 免 疫 原 | KLH conjugated synthetic peptide derived from human SEC14L1:31-130/715 |
| 亞 型 | IgG |
| 純化方法 | affinity purified by Protein A |
| 儲 存 液 | Preservative: 15mM Sodium Azide, Constituents: 1% BSA, 0.01M PBS, pH 7.4 |
| 保存條件 | Shipped at 4℃. Store at -20 °C for one year. Avoid repeated freeze/thaw cycles. |
| PubMed | PubMed |
| 產品介紹 | The protein encoded by this gene belongs to the SEC14 cytosolic factor family. It has similarity to yeast SEC14 and to Japanese flying squid RALBP which suggests a possible role of the gene product in an intracellular transport system. Multiple alternatively spliced transcript variants have been found for this gene; some variants represent read-through transcripts that include exons from the upstream gene C17orf86. [provided by RefSeq, Feb 2011] Function: The protein encoded by this gene belongs to the SEC14 cytosolic factor family. It has similarity to yeast SEC14 and to Japanese flying squid RALBP which suggests a possible role of the gene product in an intracellular transport system. Tissue Specificity: Ubiquitous. Similarity: Contains 1 CRAL-TRIO domain. Contains 1 GOLD domain. Contains 1 PRELI/MSF1 domain. SWISS: Q92503 Gene ID: 6397 Database links: Entrez Gene: 6397 Human Entrez Gene: 74136 Mouse Omim: 601504 Human SwissProt: Q92503 Human Important Note: This product as supplied is intended for research use only, not for use in human, therapeutic or diagnostic applications. |


