

貨號
產品規格
售價
備注
BN41929R-50ul
50ul
¥1486.00
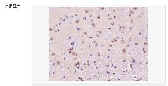
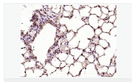
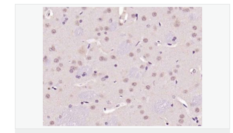
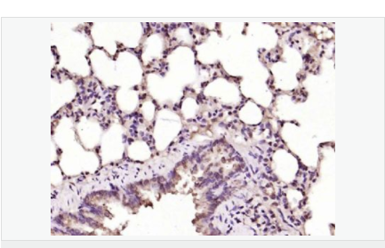
交叉反應:Human,Mouse,Rat(predicted:Dog,Pig,Cow,Horse,Rabbit,Sheep) 推薦應用:IHC-P,IHC-F,ICC,Flow-Cyt,ELISA
BN41929R-100ul
100ul
¥2360.00
交叉反應:Human,Mouse,Rat(predicted:Dog,Pig,Cow,Horse,Rabbit,Sheep) 推薦應用:IHC-P,IHC-F,ICC,Flow-Cyt,ELISA
BN41929R-200ul
200ul
¥3490.00
交叉反應:Human,Mouse,Rat(predicted:Dog,Pig,Cow,Horse,Rabbit,Sheep) 推薦應用:IHC-P,IHC-F,ICC,Flow-Cyt,ELISA
產品描述
| 英文名稱 | Ferritin Heavy Chain/FTH1 |
| 中文名稱 | 鐵蛋白抗體 |
| 別 名 | Apoferritin; Cell proliferation inducing gene 15 protein; F HC; Ferritin H subunit; Ferritin heavy chain; Ferritin heavy polypeptide 1; FHC; FRIH; FTH 1; FTH; FTH1; FTH1 protein; FTHL 6; FTHL6; Iron overload autosomal dominant; MGC104426; OK/SW-cl.84; PIG 15; PIG15; Placenta immunoregulatory factor; PLIF; Proliferation inducing gene 15 protein; Proliferation inducing protein 15; FRIH_HUMAN. |
| 研究領域 | 心血管 細胞生物 免疫學 神經生物學 |
| 抗體來源 | Rabbit |
| 克隆類型 | Polyclonal |
| 交叉反應 | Human, Mouse, Rat, (predicted: Dog, Pig, Cow, Horse, Rabbit, Sheep, ) |
| 產品應用 | ELISA=1:5000-10000 IHC-P=1:100-500 IHC-F=1:100-500 Flow-Cyt=1ug/Test (石蠟切片需做抗原修復) not yet tested in other applications. optimal dilutions/concentrations should be determined by the end user. |
| 分 子 量 | 20kDa |
| 細胞定位 | 細胞核 細胞漿 |
| 性 狀 | Liquid |
| 濃 度 | 1mg/ml |
| 免 疫 原 | KLH conjugated synthetic peptide derived from human Ferritin Heavy Chain:1-100/183 |
| 亞 型 | IgG |
| 純化方法 | affinity purified by Protein A |
| 儲 存 液 | 0.01M TBS(pH7.4) with 1% BSA, 0.03% Proclin300 and 50% Glycerol. |
| 保存條件 | Shipped at 4℃. Store at -20 °C for one year. Avoid repeated freeze/thaw cycles. |
| PubMed | PubMed |
| 產品介紹 | This gene encodes the heavy subunit of ferritin, the major intracellular iron storage protein in prokaryotes and eukaryotes. It is composed of 24 subunits of the heavy and light ferritin chains. Variation in ferritin subunit composition may affect the rates of iron uptake and release in different tissues. A major function of ferritin is the storage of iron in a soluble and nontoxic state. Defects in ferritin proteins are associated with several neurodegenerative diseases. This gene has multiple pseudogenes. Several alternatively spliced transcript variants have been observed, but their biological validity has not been determined. [provided by RefSeq, Jul 2008]. Function: Stores iron in a soluble, non-toxic, readily available form. Important for iron homeostasis. Has ferroxidase activity. Iron is taken up in the ferrous form and deposited as ferric hydroxides after oxidation. Also plays a role in delivery of iron to cells. Mediates iron uptake in capsule cells of the developing kidney. Subunit: Oligomer of 24 subunits. There are two types of subunits: L (light) chain and H (heavy) chain. The major chain can be light or heavy, depending on the species and tissue type. The functional molecule forms a roughly spherical shell with a diameter of 12 nm and contains a central cavity into which the insoluble mineral iron core is deposited. Subcellular Location: Cytoplasmic. Tissue Specificity: In human liver the heavy chain is the major chain. Similarity: Belongs to the ferritin family. Contains 1 ferritin-like diiron domain. SWISS: P02794 Gene ID: 2495 Database links: Entrez Gene: 2495 Human Entrez Gene: 14319 Mouse Entrez Gene: 100173063 Orangutan Omim: 134770 Human SwissProt: P02794 Human SwissProt: P09528 Mouse SwissProt: Q5R8J7 Orangutan Unigene: 524910 Human Unigene: 645560 Human Unigene: 1776 Mouse Important Note: This product as supplied is intended for research use only, not for use in human, therapeutic or diagnostic applications. |






