

貨號
產品規格
售價
備注
BN41940R-50ul
50ul
¥1486.00
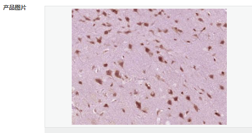
交叉反應:Rat,Mouse,Human(predicted:Sheep,Rabbit,Horse,Cow,Pig) 推薦應用:IHC-P,ELISA
BN41940R-100ul
100ul
¥2360.00
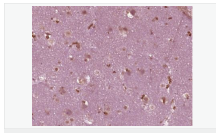
交叉反應:Rat,Mouse,Human(predicted:Sheep,Rabbit,Horse,Cow,Pig) 推薦應用:IHC-P,ELISA
BN41940R-200ul
200ul
¥3490.00
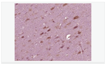
交叉反應:Rat,Mouse,Human(predicted:Sheep,Rabbit,Horse,Cow,Pig) 推薦應用:IHC-P,ELISA
產品描述
| 英文名稱 | PI3 Kinase p110 beta |
| 中文名稱 | 磷脂酰肌醇激酶(PI3Kβ)抗體 |
| 別 名 | PI3-kinase p110 subunit beta; p110 BETA; p110Beta; PI3K beta; Phosphatidylinositol 3 kinase catalytic beta polypeptide; Phosphatidylinositol 4 5 bisphosphate 3 kinase 110 kDa catalytic subunit beta; Phosphatidylinositol 4 5 bisphosphate 3 kinase catalytic subunit beta isoform; Phosphatidylinositol-4; Phosphoinositide 3 kinase catalytic beta polypeptide; PI3 kinase p110 subunit beta; PI3-kinase subunit beta; PI3K; PI3K beta; PI3K-beta; PI3Kbeta; PI3KCB; PIK3C1; Pik3cb; PK3CB_HUMAN; PtdIns 3 kinase p110; PtdIns-3-kinase subunit beta; PtdIns-3-kinase subunit p110-beta; 5-bisphosphate 3-kinase 110 kDa catalytic subunit beta; 5-bisphosphate 3-kinase catalytic subunit beta isoform. |
| 研究領域 | 腫瘤 細胞生物 免疫學 信號轉導 細胞周期蛋白 激酶和磷酸酶 |
| 抗體來源 | Rabbit |
| 克隆類型 | Polyclonal |
| 交叉反應 | Human, Mouse, Rat, (predicted: Pig, Cow, Horse, Rabbit, Sheep, ) |
| 產品應用 | ELISA=1:5000-10000 IHC-P=1:100-500 (石蠟切片需做抗原修復) not yet tested in other applications. optimal dilutions/concentrations should be determined by the end user. |
| 分 子 量 | 123kDa |
| 細胞定位 | 細胞核 細胞漿 |
| 性 狀 | Liquid |
| 濃 度 | 1mg/ml |
| 免 疫 原 | KLH conjugated synthetic peptide derived from human PI3 Kinase p110 beta:701-800/1070 |
| 亞 型 | IgG |
| 純化方法 | affinity purified by Protein A |
| 儲 存 液 | 0.01M TBS(pH7.4) with 1% BSA, 0.03% Proclin300 and 50% Glycerol. |
| 保存條件 | Shipped at 4℃. Store at -20 °C for one year. Avoid repeated freeze/thaw cycles. |
| PubMed | PubMed |
| 產品介紹 | This gene encodes an isoform of the catalytic subunit of phosphoinositide 3-kinase (PI3K). These kinases are important in signaling pathways involving receptors on the outer membrane of eukaryotic cells and are named for their catalytic subunit. The encoded protein is the catalytic subunit for PI3Kbeta (PI3KB). PI3KB has been shown to be part of the activation pathway in neutrophils which have bound immune complexes at sites of injury or infection. Alternative splicing results in multiple transcript variants. [provided by RefSeq, Dec 2011]. Function: Phosphoinositide-3-kinase (PI3K) that phosphorylates PtdIns (Phosphatidylinositol), PtdIns4P (Phosphatidylinositol 4-phosphate) and PtdIns(4,5)P2 (Phosphatidylinositol 4,5-bisphosphate) to generate phosphatidylinositol 3,4,5-trisphosphate (PIP3). PIP3 plays a key role by recruiting PH domain-containing proteins to the membrane, including AKT1 and PDPK1, activating signaling cascades involved in cell growth, survival, proliferation, motility and morphology. Involved in the activation of AKT1 upon stimulation by G-protein coupled receptors (GPCRs) ligands such as CXCL12, sphingosine 1-phosphate, and lysophosphatidic acid. May also act downstream receptor tyrosine kinases. Required in different signaling pathways for stable platelet adhesion and aggregation. Plays a role in platelet activation signaling triggered by GPCRs, alpha-IIb/beta-3 integrins (ITGA2B/ ITGB3) and ITAM (immunoreceptor tyrosine-based activation motif)-bearing receptors such as GP6. Regulates the strength of adhesion of ITGA2B/ ITGB3 activated receptors necessary for the cellular transmission of contractile forces. Required for platelet aggregation induced by F2 (thrombin) and thromboxane A2 (TXA2). Has a role in cell survival. May have a role in cell migration. Involved in the early stage of autophagosome formation. Modulates the intracellular level of PtdIns3P (Phosphatidylinositol 3-phosphate) and activates PIK3C3 kinase activity. May act as a scaffold, independently of its lipid kinase activity to positively regulate autophagy. May have a role in insulin signaling as scaffolding protein in which the lipid kinase activity is not required. May have a kinase-independent function in regulating cell proliferation and in clathrin-mediated endocytosis. Mediator of oncogenic signal in cell lines lacking PTEN. The lipid kinase activity is necessary for its role in oncogenic transformation. Required for the growth of ERBB2 and RAS driven tumors. Subunit: Heterodimer of a catalytic subunit PIK3CB and a p85 regulatory subunit (PIK3R1, PIK3R2 or PIK3R3). Interaction with PIK3R2 is required for nuclear localization and nuclear export. Part of a complex with PIK3R1 and PTEN. Binding to PTEN may antagonize the lipid kinase activity under normal growth conditions. Part of a complex involved in autophagosome formation composed of PIK3C3 and PIK3R4. Interacts with BECN1, ATG14 and RAB5A. Subcellular Location: Cytoplasm. Nucleus. Note=Interaction with PIK3R2 is required for nuclear localization and export. Tissue Specificity: Expressed ubiquitously. Post-translational modifications: Phosphorylation at Ser-1070 down-regulates lipid kinase activity. Similarity: Belongs to the PI3/PI4-kinase family. Contains 1 C2 PI3K-type domain. Contains 1 PI3K-ABD domain. Contains 1 PI3K-RBD domain. Contains 1 PI3K/PI4K domain. Contains 1 PIK helical domain. SWISS: P42338 Gene ID: 5291 Database links: Entrez Gene: 5291 Human Entrez Gene: 74769 Mouse Omim: 602925 Human SwissProt: P42338 Human SwissProt: Q24JU2 Human SwissProt: Q3U4Q1 Mouse SwissProt: Q8BTI9 Mouse Unigene: 239818 Human Unigene: 213128 Mouse Unigene: 44268 Rat Important Note: This product as supplied is intended for research use only, not for use in human, therapeutic or diagnostic applications. |


