FGF家族因子在類器官培養中使用廣泛,其中,FGF-10多用于胃類器官、肝類器官、肺類器官、前列腺類器官、垂體瘤類器官、
乳腺癌類器官的培養過程中。
近岸蛋白提供高純度、高活性、低內毒素的重組FGF-10蛋白,并已在多種類器官模型中驗證其促進類器官生長的功能,讓您的類
器官培養更可控!
產品數據:
高活性重組FGF-10蛋白(Cat#CR11)

Measured by its ability to induce FGFRIIIb receptor activity in HEK293T human embryonic kidney cells.
The ED50 for this effect is 3.82ng/ml (Regularly tested).

The activity of Recombinant Human FGF-10 Protein(Cat#CR11) was comparable to Brand R.
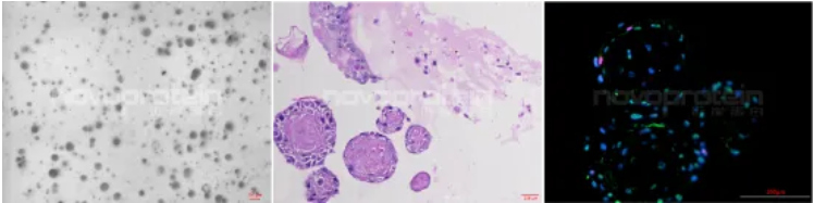
類器官驗證數據
![]() | ![]() | |
| Mouse Gastric organoids were cultured with EGF (Cat#C029), Wnt3a (Cat#C22R), Noggin (Cat#C028) , R-spondin 1 (Cat#CX83) and FGF-10 (Cat#CR11). The organoids showed good morphology. | Mouse bile duct organoids were cultured with EGF (Cat#C029) , R-spondin 1 (Cat#CX83) ,FGF-10 (Cat#CR11) and HGF (Cat#CJ72). The organoids showed good morphology. |

Human breast cancer organoids were cultured with Wnt3a(Cat#C22R),Noggin (Cat#CB89),R-spondin 3
(Cat#C18C),KGF(Cat#CH73),FGF-10(Cat#CR11), EGF(Cat#C029)and NRG1-beta 1(Cat#C753). DAPI
(blue), Ki67(red) and ER(green).
產品推薦
| 目錄號 | 產品名稱 |
| CR11 | Recombinant Human FGF-10 |
| CR108 | Recombinant Mouse FGF-10 |
相關產品
目錄號 | 產品名稱 |
C049 | Recombinant Human FGFa (140AA) |
CH53 | Recombinant Human FGFa (154AA) |
C043 | Recombinant Mouse/Rat FGFa |
C779 | Recombinant Human FGFb (146AA)? |
C751 | Recombinant Human FGFb (155AA) |
C046 | Recombinant Human FGFb (157AA) ? |
GMP-C046 | Recombinant Human FGF basic? |
CH88 | Recombinant Human FGFb (K128N) |
CH89 | Recombinant Human FGFb (Q65I,C96S,N111G) |
C044 | Recombinant Mouse FGFb |
CM25 | Recombinant Rat FGFb |
CR68 | Recombinant Human FGF-4 (136AA) |
CR08 | Recombinant Human FGF-4 (153AA)? |
CR66 | Recombinant Mouse FGF-4 |
CH73 | Recombinant Human KGF? |
GMP-CH73 | Recombinant Human KGF? |
CM88 | Recombinant Human KGF (C-6His) |
CR99 | Recombinant Mouse KGF |
C798 | Recombinant Human/Mouse FGF-8b? |
GMP-C798 | Recombinant Human FGF-8b? |
CK12 | Recombinant Human FGF-8f (N-6His) |
C198 | Recombinant Human FGF-9? |
GMP-C198 | Recombinant Human FGF-9? |
CR12 | Recombinant Mouse FGF-9 (N-6His) |
C222 | Recombinant Human FGF-12 |
CG42 | Recombinant Human FGF-17 |
C996 | Recombinant Human FGF-17 (C-6His) |
CR04 | Recombinant Mouse FGF-17 (C-6His) |
CR105 | Recombinant Human FGF-18 |
C46H | Recombinant Human FGF-18 (C-6His) |
CG74 | Recombinant Human FGF-19 (N-6His) |
C223 | Recombinant Human FGF-21 (N-6His) |
C04D | Recombinant Mouse FGF-21 (C-6His) |
CS24 | Recombinant Cynomolgus FGF-21 (C-6His) |